글을 읽기전에 이런 글을 계속 받아보고 싶으시다면 '구독' 및 게시글에 '좋아요' 부탁드립니다 ^^
여러분의 관심이 제 포스팅에 원동력이 됩니다 :)
Prologue
오랜만에 찾은 헬스장, 한동안 안하던 운동을 다시 시작하려다보니 의욕이 앞서 무게를 들다가 갑자기 허리가 삐끗하신 기억, 다들 한 번 쯤은 있으시죠? 처음엔 참을만하더니 점점 통증은 심해지고, 자세를 조금만 돌려도 허리가 아프고, 재채기만 해도 죽을 것 같고.. 혹시나 하는 마음에 인터넷을 찾아보면 디스크가 걱정되기도하고, 오늘은 우리 몸의 대들보와 같은 기능을 하는 허리, 그 중에서도 허리 디스크에 대해서 이야기해보고자 합니다.
허리 디스크가 뭔가요?
우리가 흔히 말하는 '디스크'라는 것은 한국말로 번역하면 '추간판' 입니다. 이는 '척추 사이에 있는 판'이라는 의미로, 직관적으로 해석하면 각 척추 뼈 사이에 놓여져있는 판 모양의 구조물이라는 의미입니다. 그렇다면 그 판은 어떻게 생겼고, 무엇으로 이루어져 있을까요?

척추는 위 그림과 같이 각 척추 뼈들 사이에 위치하게됩니다. 그 구성은 우리가 흔히 들어본 '콜라겐'이라는 물질로 구성이 되어있는데요, 추간판의 외측 단단한 벽을 구성하는 '섬유륜(Annulus Fibrosis)'은 외벽을 지탱해야하기 때문에 비교적 질기고 외부 스트레스에 강한 제 1형 콜라겐으로 구성되어 있습니다. 이 섬유륜은 내부의 핵을 보호하기 위해 여러겹으로 겹겹이 쌓여있는 것이 특징입니다. 우리가 흔히 '디스크가 터졌다'라고 하는 것은 이 섬유륜 층이 찢어져, 찢어진 부위로 내부의 물질이 흘러나오는 것을 의미합니다.
내부의 수핵(Nucleus Puplosus)의 경우에는 내부에 물과 프로테오글리칸이라는 다당류 성분이 주를 이루고, 제2형 콜라겐이 포함되어 있습니다. 이들은 성분적인 특징으로 인해 압박력에 대하여 저항성을 가지고 있는 것이 특징입니다.
어떤 증상이 있을 때 디스크를 의심 할 수 있나요?
가장 흔한 증상으로는, 무거운 물건을 들다가 발생하는 갑작스러운 통증입니다. 이는, 무거운 물건을 안들다가 갑자기 들게 되는 경우에도 발생하지만, 주로 직업적으로 안좋은 자세로 오래 앉아 있거나 (한쪽으로 기울어서 앉는 경우 특히 위험합니다.) 허리를 비트는 동작을 많이 하는 경우에 더 호발하는 것으로 알려져 있습니다.
다음으로, 디스크에서 가장 특징적인 증상인 방사통이 있습니다. 방사통이란 영어로 Radiating pain이라고 하는데요, 이는 통증이 한 곳에서 국소적으로 발생하는 것이 아니라 마치 일정하 경로를 따라서 쭉 퍼지듯이 통증이 뻗어내려가는 것을 말합니다. (어르신들은 주소 '허벅지로 뻗치듯이'라는 표현을 쓰시더라구요. ^^)
이는 손상으로 인해 후방 또는 후 측방으로 튀어나온 디스크가 척추 신경을 자극하여 발생합니다.
그렇다면 왜 이러한 통증이 발생할까요? 신경이란 쉽게 말하면 일종의 전기줄과 같다고 이해하시면 됩니다. 환자분들이 병원에 오시면 항상 질문하시는 것 중에 하나가 "전 허벅지가 아픈데 왜 허리 MRI를 촬영하나요?" 입니다. 이는, 환자분께서 느끼는 통증이 기원이 허리 레벨에 위치하는 척추 신경이 튀어나온 디스크로 인해 자극을 받게 되고, 자극을 받은 척추 신경이 감각을 담당하는 부분(관할 지역?ㅎㅎ)에서 통증을 느끼기 때문에, 마치 허벅지에 이상이 있어서 통증이 발생하는 것처럼 느끼게 되기 때문입니다. 통증의 양상은 날카롭게 무언가 찌르는 것 같을 수도있고, 우리하게 짓누르는 것과 같은 통증도 있으며, 저린 듯한 느낌이 지속되기도 합니다. 이를 감각 이상이라고도 표현합니다.

여기서 증상이 더 악화되게 되면 심상치 않은 조짐들이 보이기 시작합니다. 앞서 말씀드린 것처럼 신경은 전기줄과도 같기 때문에, 장시간 이 전기줄이 눌리게되면 전기를 공급받는 가전제품이 문제가 생기겠죠? 우리 몸에서 이에 해당하는 것이 바로 근육입니다. 장기간 눌린 신경이 지배하는 근육에 힘이 들어가지 않거나, 심한 경우에는 근육 자체가 퇴화되어 반대측에 비해서 눈에 보일정도로 근육이 빠진 것이 관찰되기도 합니다.
허리를 다쳤을 때 어떤 증상에 주목해야하나요??
허리 통증의 경우 결국에 환자분들이 가장 걱정하시는 것은 "디스크가 터졌느냐 안터졌냐"입니다. 그렇다면 일반적인 요추의 염좌와 디스크를 감별하기 위해서 가장 주목해야할 증상은 무엇일까요? 그것은 위에 언급드린 '방사통의 유무' 입니다. 단순 요추 염좌의 경우에느 허리의 통증은 발생할 수 있습니다. 하지만 실질적으로 디스크가 척추 신경을 압박하는 경우에만 발생할 수 있는 증상인 방사통의 경우에는, 단순히 진통제를 먹는 것으로 그치지 않을 수 있기에 꼭 전문의 진찰을 받아보실 것을 추천드립니다.
또한 감각이 떨어지거나 근력이 떨어지는 것은, 단순한 초기 디스크의 증상을 넘어서 만성적으로 신경이 눌렀다는 것을 의미하므로, 한쪽 다리 근육에 힘이 잘 안들어간다거나, 반대쪽에 비해서 피부감각이 떨어진다면 수술까지 고려해야하므로 바로 병원에 방문하여 정밀검사를 받는 것이 중요합니다.
진단을 위해 어떤 검사를 해야하나요?
먼저 가장 중요한 것은, 신체진찰입니다. 위의 증상들을 환자분들이 관측하고, 심각한지 안심각한지 스스로 추론해보실 수도 있지만, 위의 증상들 중 감각이나 운동능력의 저하 등 보다 심각한 증상이 있다면, 빠르게 가까운 병원을 찾아, 숙련된 정형외과 전문의 선생님께 신체진찰을 받아보는 것이 중요합니다.
이를 위해서 할 수 있는 검사들을 아래와 같습니다.
제가 앞으로 쓸 글 들에세 진단 방법에 대해 드리는 설명은, 각 검사가 어느정도 필요한 검사이고, 어떠한 한계가 있는지, 그리고 비용이 들더라도 꼭 해야하는지에 관해 환자분들의 이해를 돕기 위한 내용을 위주로 쓰려고합니다.
영상의학적 검사 :
1. X-ray 검사 :
정형외과에 방문하시게되면 가장 많이 하시게 되시는 검사입니다. 가장 기본적이면서도 가장 먼저 감별해야할 위험한 진단을, 예를 들면 골절이나 골종양 등을 발견할 수 있게 해주는 값싸고도 고마운 검사입니다.
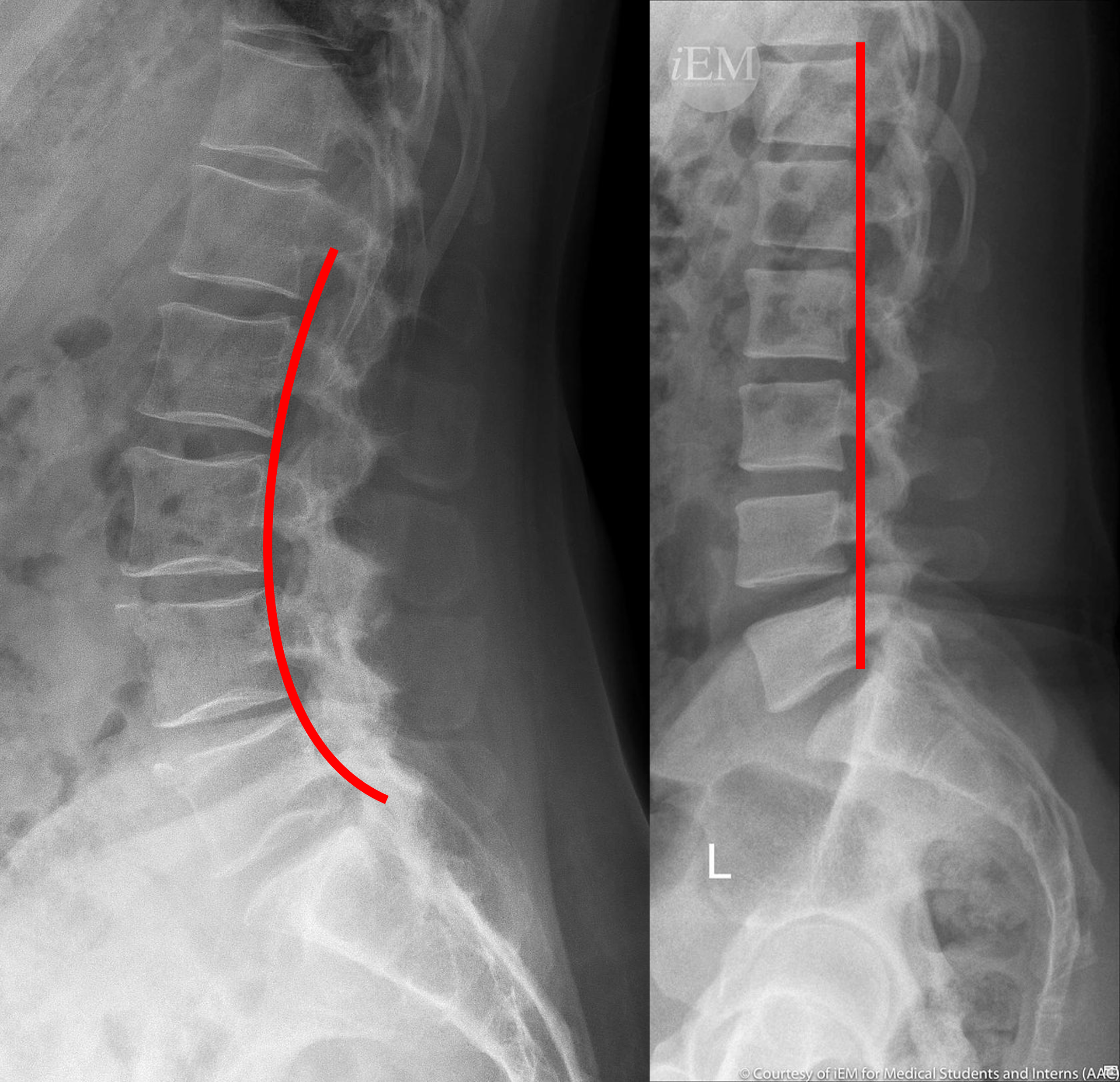
급성 허리 통증에서 X-ray로 확진을 하는 것은 상당히 제한됩니다. 일반적으로 허리 통증이 발생하게되면 척추를 양쪽에서 잡아주고있는 기립근과 같은 코어근육들이 긴장을 하기때문에, 원래는 C자형으로 만곡을 그리고 있어야할 요추가 반듯하게 펴진 듯한 소견을 관찰 할 수 있게 됩니다.

이러한 소견은 염좌에 관한 간접적인 소견에 해당하는데요, 그렇다면 좀 더 심각한 질병을 감별할 수 있는 소견은 무엇일까요? 디스크는 맨 처음 모식도 그림에서 보신 것처럼 척추 뼈 사이사이를 메꾸고 있는 콜라겐 조직입니다. 디스크의 손상은 결국 이러한 콜라겐 조직의 퇴행성 변화를 야기하게 되고, 그 결과 만성 디스크 환자의 경우 손상된 디스크의 높이가, 정상적인 디스크의 높이보다 낮아지게 됩니다.

또한 디스크의 기능 중 하나인 '관절의 안정성'이 무너지기 때문에, 망가진 디스크와 인접한 두 척추 뼈가 불안정하게 흔들리게되고, 이를 보상하기 위해 뼈가 자라나며 두 뼈 사이를 이어주려고 하는, 골극 형성이 일어나는 것도 확인 할 수 있습니다.

2. CT 검사 :
정석적인 방법은 아니지만, X선의 투과성이 디스크 조직에서 미세하기 다른 것을 이용하여, CT검사를 통해서 디스크 여부를 판단하기도 합니다. 하지만 이는 정확도의 문제가 있을 수 있기 때문에, 이상이 발견된 경우 MRI 정밀 검사를 다시 촬영하는 경우가 많습니다. 우리나라의 경우 CT 수가가 비교적 저렴하기 때문에 환자분에게도 부담이 덜 되고, 처방하는 선생님들도 심각한 질병을 놓치는 것을 피하기 위해서 검사하는 경우가 있습니다.
3. MRI 정밀 검사 :
MRI는 우리 몸에 있는 물 분자들을 자기장을 이용하여 회전을 주어 그 신호를 이미지로 형상화 하는 기계입니다. X-ray는 X선을 쏴서 발생하는 그림자를 통해 이미지를 만들기에 뼈가 아닌 연부조직들, 즉 근육이나 인대, 관절낭, 신경 등은 이미지화 시킬 수가 없다는 점이 한계이지만, MRI는 이러한 연부조직 들 모두 수분을 가지고 있기에 이미지화 할 수 있는 장점이 있습니다.
앞서 말씀드린대로 디스크를 조성하는 물질들은 대부분 물분자와 콜라겐, 다당류 조직이기 때문에 MRI를 통해서만 그 형태를 정확하게 파악할 수 있습니다. 아울러 고른 신호강도를 보여야하는 척추신경이, 파열된 디스크로 인해 눌릴 경우 신호가 바뀌는, '척수병증' 이라는 심각한 질환을 유일하게 진단 할 수 있는 검사이기도 합니다.
또한 장기간 고생한 디스크 환자의 경우, 수술을 하기 전 어느 부위가 눌렸는지, 어느 부분을 감압해주어야 증상이 좋아질 수 있는지 파악하기 위하여 필수적으로 시행해야 하는 검사이기도 합니다.

위 MRI 영상을 보시면 정상적인 디스크의 내부는 (하얀 화살표) 수분으로 인한 높은 신호강도를 보여 하얗게 보여야 하지만, 손상된 디스크의 내부는 (붉은 화살표) 수핵이 후방으로 탈출된 후 흡수가 되어 수분이 없어 저신호강도로 검은색으로 보이게 됩니다. 후방으로 탈출된 디스크 조직 (파란 화살표)는 척추체 후방에 위치한 척추신경을 압박하여 신경증상을 일으키게 됩니다.
허리를 다치면 바로 MRI를 찍어야 할까요? 아니면 우선 약만 먹을까요?
이번 글에서 가장 중요한 질문이라고 할 수 있습니다.
살다보면 허리를 다치는 경우가 참 많은데, 이럴 때마다 그럼 MRI를 촬영해야할까요?
대답은 "증상과 역사에 주목하라" 입니다.
앞으로도 자주 말씀드리겠지만, 진단 검사의 목적은 앞으로의 플랜을 설정하기 위한 것입니다. 다시 말하자면, 어떤 검사 결과에 따라 치료 방식이 크게 달라지는 경우라면 그 검사는 반드시 시행해야하는 검사이지만, 검사 결과에 관계없이 당분간의 플랜에 큰 차이가 없다하면 그 검사는 급하게 시행해야할 검사는 아니라는 말입니다.
허리 통증이 처음 발생한 환자인 경우 (물론 작은 가능성으로 바로 디스크가 파열되는 경우도 있지만...) 대부분 단순 염좌일 가능성이 큽니다. 이는 젊은수록, 그리고 다친 경험이 적을 수록 더 그러한데요, 우리 척추의 디스크가 터지는 것은 그 디스크가 본래 가지고 있는 보호 기능의 한계를 뛰어넘은 손상이 생기는 경우에 발생하게 됩니다.
건강한 성인의 경우, 이를 보상하기 위해 척추 관절의 기계적 맞물림, 그리고 척추 주변 근육들이 단단히 버텨주고 있기 때문에, 인간의 힘으로 버틸 수 없는 강한 손상 (예를 들면 교통사고 등)이 아니면 처음부터 바로 디스크가 터지는 일은 드뭅니다.
따라서 병원에 방문하여 MRI를 고려할 때,
1. 내가 허리를 지금까지 얼마나 자주 다쳤는지,
2. 평소에 허리를 많이 사용하는 일을 하는지,
3. 오래 앉아있거나 허리를 구부린 자세로 오랫동안 일을 하는지,
4. 감각이상이나 방사통, 근력 약화 등 다른 심각한 증상은 없는지
등을 종합적으로 고려하여 촬영을 결정하여야 겠습니다.
우리나라의 경우 비교적 의료비가 기타 선진국에 비해 부담이 적기 때문에 MRI를 촬영하는 것이 왕왕 있는 일이지만, 촬영하는 것이 쉽지 않은 국가들에서 정형외과적으로 MRI촬영을 고려하는 경우는 다음과 같습니다.
1. 통증이 1달 이상 지속되고, 비수술적인 치료로 호전을 보이지 않을 때.
2. 다른 질환으로 감별되지 않는 감염증상
3. 암환자
4. 교통사고 환자에서 방사통이나 감각이상 등 추간판 탈출증을 의심할 수 있는 증상이 존재할 때(심한 경우 소변이나 변을 참지 못하는 경우도 있습니다.)
위와 같은 경우는 MRI검사를 통해 추간판은 손상 정도 및 수술적 처치의 필요성 등을 알 수 있게 됩니다.
추간판 탈출증의 보존적 치료와 수술적 치료 방법에 대해서는 다음 시간에 이어서 알아보도록 하겠습니다. :)
글을 마치며...
오늘은 한번 찾아오면, 화장실도 가기 힘든 요추 염좌 및 추간판 탈출증에 대해 알아보았습니다. 이해가 잘 되셨을까요? 의학지식이란 것이 정보 비대칭성이 강하고, 어려운 용어들이 많아 평소 병원에 가서 설명을 듣고 팜플렛을 보아도 이해가 잘 안되시는 부분이 많았을 것 같은데요, 제 글이 여러분들의 이해에 도움이 되었으면 좋겠습니다. :)
제 글이 도움이 되셨다면 '좋아요' 부탁드리고, 앞으로 이런 글들을 꾸준히 받아보시고 싶으시면 '구독' 부탁드립니다 ^^
아울러 댓글로 추가로 궁금하신 사항을 남겨주시면 친절하게 최대한 자세히 답변 드리고, 설명이 길어진다면 따로 시간을 마련해서 포스팅하도록하겠습니다 ^^