글을 읽기전에 이런 글을 계속 받아보고 싶으시다면 '구독' 및 게시글에 '좋아요' 부탁드립니다 ^^
여러분의 관심이 제 포스팅에 원동력이 됩니다 :)
Prologue
살면서 발목 한번 접질러보지 않은 사람이 있을까요? 주말에 여가 활동으로 축구 또는 농구를 하다가, 간만에 오른 등산길에서 하산 중에 방심해서, 오래난에 힐을 신고 빨리 걷다가 나도 모르게..
이처럼 발목 염좌는 우리 주변에서 아주 쉽게 만나볼 수 있는 질환입니다. 정형외과하면 어깨나 척추, 무릎 같은 큰 관절이 아파서 가는 병원으로 생각하시지만, 실제로 정형외과에 오는 환자 분들중에 대부분은 발목처럼 비교적 작은 관절의 질환이나 외상으로 방문하시는 분의 비율이 아주 높습니다.
우리가 흔히 '발목이 삐었다'고 하면 많은 분들이 "그냥 얼음찜질하고 쉬면 나아"와 같이 가볍게 생각하시거나, "한의원가서 침 맞으면 낫는다"라는 식으로 본인의 경험을 이야기 해주기도하고, "그거 나 아는사람은 자꾸 삐더니만 수술했다더라"에 이르기까지 무서운 경고를 하기도 합니다.
그렇다면 어떠한 조언이 가장 맞는 말일까요? 그 정답은 앞으로 오늘 글을 읽으면서 앞으로 쉽게 대답하실 수 있을거라 생각합니다 :)
발목 염좌는 대체 뭐가 다치는 건가요?
발목 염좌는 쉽게 구분하자면 발목이 안쪽으로 꺾이는 경우와, 바깥쪽으로 꺾이는 경우로 나눌 수 있습니다. 이 중 우리가 자주 겪게되는 발목 염좌의 경우에는 발목이 바깥쪽으로 꺾이는 외측 발목 염좌(Lateral Ankle Sprain)입니다. 우리 발목의 안정성에 기여하는 구조물들은 각 뼈로 구성된 관절부터 인대, 근육 등 여러가지 구조물이 있지만, 그 안정성에 크게 기여하는 인대를 꼽자면 아래 그림에서와 같이 3가지를 들 수 있습니다. 발목 내측의 삼각인대(Deltoid Ligament), 외측의 전거비인대(Anterior Talofibular Ligament)와 종비인대 (Calcaneofibular Ligament)가 그것입니다.

우리가 흔히 발목을 접질렀다 함은, 위 세가지 인대 중 하나, 혹은 여럿이 다쳤다는 것을 의미합니다.
발목 인대가 다치면 다 똑같은 염좌인가요?
물론 아닙니다. 발목 염좌의 경우 정상에서부터 3단계까지 인대의 손상 정도에 따라 그 등급을 나누어 기술하고 있습니다.
Grade I : 인대 자체의 긴장만 발생하거나, 아주 미세한 찢김만 동반된 경우. (Stretching, small tears)
Grade II : Grade I 보다 큰 찢김이 발생하였으나, 인대 자체가 완전히 끊어진게 아니라 어느정도 이어져있어 유지되는 경우. (Large, but incomplete tear)
Grade III : 인대가 완전히 끊어진 경우. (Complete tear)

발목을 접질렀을 때, 어떠한 증상에 주목해야하나요?
우선 가장 중요한 증상은 역시나 통증입니다. 발목을 접지를 경우에 통증이 수반되는 것은 당연합니다만, 그 통증이 정상적으로 체중을 다친 발목으로 지지할 수 있는지 여부를 파악하는 것이 중요합니다. 발목을 접지를 경우, 연부조직인 인대만 다치는 경우도 있지만, 심한 경우에는 골절이 동반될 수 있기 때문입니다. 골절이 있는 경우에는 환자분이 다친 발목 쪽으로 체중을 온전히 싣는것이 극심한 고통으로 인해 불가능하기에, 정형외과 의사들은 환자분이 진료실에 걸어서 들어오는지, 아니면 목발을 집고 다친다리를 살짝이라도 디디면서 오는지, 휠체어를 타고 들어오는 지 등을 보고 부상의 경중을 어느정도 예상하게 됩니다.

다음으로 중요한 것은 멍이 들었는지 확인하는 것입니다. 많은 분들이 다친 후에 멍이 발생한 것이 어떤의미인지 궁금해하시는데요, 우리가 흔히 '피멍'이라고 부르는 이 푸르딩딩한 반점은, 피부조직 아래에 연부조직이 다치거나(찢어짐) 골절이 발생하는 경우에, 그 조직들에서 나오는 출혈로 인해 보이는 현상입니다. 따라서, 피멍이 보이는 환자가, 보이지 않은 환자보다 좀 더 심한 손상을 입었을 가능성이 높습니다.
발목을 접지른 환자분들 중에 위에 언급한 전거비인대나 종비인대가 불완전 또는 완전하게 파열된 경우에는 발목 외측의 복사뼈 아래로 지면과 평행한 멍이 든 것을 확인하실 수 있습니다.
발목이 붓는 부종 또한 중요한 증상입니다. 염좌가 경미한 경우에는 발목에 통증은 있어도, 붓기가 발생하지 않지만, 다치지 않은 반대쪽보다 발목이 심하게 붓는다면 이 역시 피하 조직의 손상으로 인한 삼출물이 탈출하여 생기는 현상을 시사하기에, 좀 더 큰 부상을 암시합니다.

진단을 위해 어떤 검사를 해야하나요?
먼저 가장 중요한 것은, 신체진찰입니다. 위의 증상들을 환자분들이 관측하고, 심각한지 안심각한지 스스로 추론해보실 수도 있지만, 위의 증상들 중 가볍지 않다고 판단되는 증상 (멍이보이거나 발목이 심하게 붓거나 체중을 싣기 힘든 경우) 이 있다면, 빠르게 가까운 병원을 찾아, 숙련된 정형외과 전문의 선생님께 신체진찰을 받아보는 것이 중요합니다.
아주 가벼운 염좌라면 병원에 오시지도 않겠지만, 어느정도 인대손상 또는 그 이상의 손상을 시사하는 신체진찰 소견이 보인다면 다음과 같은 검사들을 할 수 있습니다.
제가 앞으로 쓸 글 들에세 진단 방법에 대해 드리는 설명은, 각 검사가 어느정도 필요한 검사이고, 어떠한 한계가 있는지, 그리고 비용이 들더라도 꼭 해야하는지에 관해 환자분들의 이해를 돕기 위한 내용을 위주로 쓰려고합니다.
영상의학적 검사 :
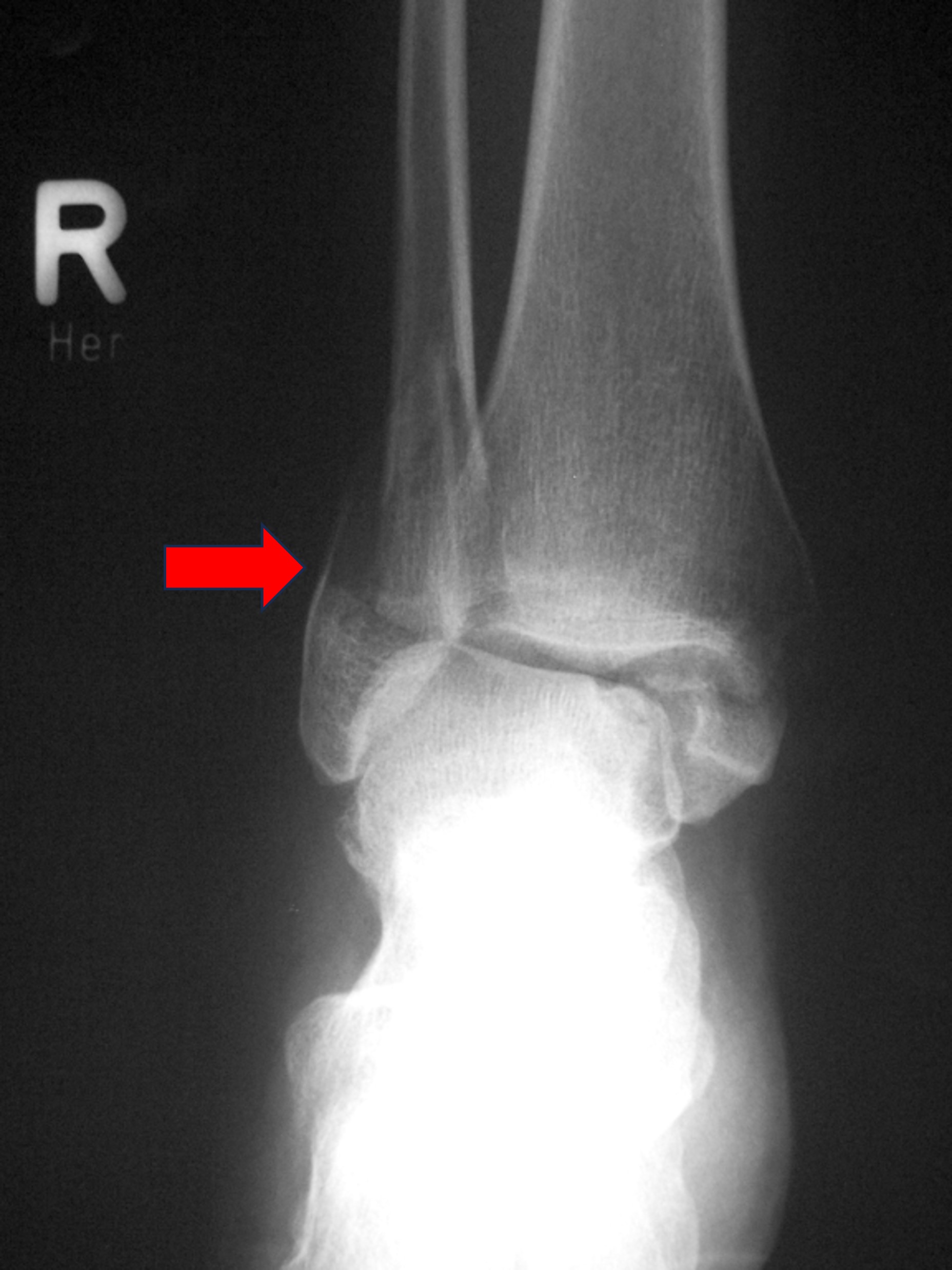
1. X-ray 검사 :
정형외과에 방문하시게되면 가장 많이 하시게 되시는 검사입니다. 가장 기본적이면서도 가장 먼저 감별해야할 위험한 진단을, 예를 들면 골절이나 골종양 등을 발견할 수 있게 해주는 값싸고도 고마운 검사입니다.
발목 염좌에서 X-ray는 아주 중요한 역할을 하는데요, 바로 골절을 감별해주기 때문입니다. 생각보다 일상생활에서 발생한 발목 염좌로 인해 병원에 오신 분들 중에서, 골절이 동반되는 경우가 많이 있습니다. 격한 운동을 하지 않았더라도, 본인의 체중이 발목에 온전히 실린채로 넘어지거나 미끄러지는 경우에, 하이힐을 신거나 게단을 내려오던 중에도, 골절이 발생하는 경우가 있습니다. 불완전 골절이나 골절 자체가 흔히 말하는 '금만 간 골절'인 경우, 다시말해 골절편의 전위 (어려운 말이죠)가 없는, 또 쉽게 말하자면, '뼈는 부러졌지만 부러진 뼈조각이 원래 자리에서 벗어나지 않은' 골절이라면 X-ray로 진단 후에 석고 부목으로 고정을 함으로써 비수술적 치료를 시도할 수 있습니다.

하지만 X-ray상에서 골절된 뼈가 원래 위치에서 벗어나있는 경우에는, 요즘은 대부분 빠른 일상생활로의 복귀와 추후 발생할 합병증을 최소화 하기 위해, 수술적 처치를 하게 됩니다.
이러한 중요한 결정을 해야할 수 있으니, 초기에 정형외과를 방문해서 X-ray를 꼭 찍어보는 것이 중요합니다. 골절이 된 것을 놓치고 추후에 발견하게 되면, 그 사이에 뼈는 자기들끼리 붙으려고 노력을 하게되고, 골진이 나와 추후 수술을 더욱 어렵게 만들 수가 있습니다. 심한경우에는 삐뚫게 붙은 뼈를 다시 인공적으로 골절시킨 후에 원래 정렬을 맞춰야 하는 경우도 있습니다.
2. CT 검사 :
CT검사는 X선을 360도 방향에서 쏘아서 얻는 그림자 영상을 다시 재조합하여 3D형태로 얻을 수 있는 검사입니다.
CT는 보통 크게 두가지 목적을 위해 촬영하게 됩니다.

1) X-ray상 골절이 확실하지 않으나, 신체진찰상 골절이 강력하게 의심되는 경우 :
X-ray검사를 통해 모든 골절을 알아내면 정말 좋겠지만, X-ray 검사의 경우 뼈를 완전히 투과하지 못하는 X선을 쏴서 그 그림자를 얻는 방식이기에, 골절된 뼈가 그자리에서 벗어나지 않고 가만히 있는 경우에는 일부 X-ray 검사 만으로 골절을 확진하기 힘든 경우가 있습니다. 이는 1주 정도 시간을 두고 촬영하게 되면, 골절 부위에서 나오는 출혈로 인해 골절부위가 시간이 지나면서 벌어지게되는 것을 이용하여 확진을 할 수도 있는데요, 아무래도 요즘같은 흉흉한 시기에, 이런식으로 안내를 했다가는 'X-ray도 잘 못보는 의사' 나 '돌팔이'로 불리기 십상입니다. 그래서 신체진찰 소견상 위에 말씀드린 멍이 심하건, 발을 제대로 딛기 힘들다거나, 압통이 너무 심하다거나, 붓기가 너무 심하다거나 하는 경우에는, 애매한 X-ray소견이 있는 환자에서 한정적으로 CT검사를 권유하기도 합니다.
2) X-ray상 골절이 확실하고, 수술을 계획하는 경우
골절 수술은 일종의 퍼즐맞추기와 같다고 할 수 있습니다. 제자리에서 떨어져나간 뼈조각을 원래 위치에 맞추어 고정을 시켜야 하는 수술입니다. 이를 위해서 수술전에는 내가 어떠한 기구를 이용하여 어느 방향으로부터 진입해서 뼈조각을 고정할 지에 대한 계획을 하게되는데요, 이를 CT 검사를 통해 도움을 받을 수 있습니다. X-ray로도 할 수 있지만은, 앞서 말씀드린 것처럼 그림자만으로 계획을 했을 경우에 만약에라도 발생할 불상사를 예방하기 위해서라도, 좋은 수술 결과를 바란다면 CT검사를 하는 것이 좋습니다.

3. MRI 정밀 검사 :
MRI는 우리 몸에 있는 물 분자들을 자기장을 이용하여 회전을 주어 그 신호를 이미지로 형상화 하는 기계입니다. X-ray는 X선을 쏴서 발생하는 그림자를 통해 이미지를 만들기에 뼈가 아닌 연부조직들, 즉 근육이나 인대, 관절낭 등은 이미지화 시킬 수가 없다는 점이 한계이지만, MRI는 이러한 연부조직 들 모두 수분을 가지고 있기에 이미지화 할 수 있는 장점이 있습니다.
발목 손상에서 X-ray나 CT검사 만으로는 인대손상을 알 수 없다는 한계가 있습니다. MRI는 위에서 언급한 전거비인대나 종비인대, 삼각인대 등 연부조직의 손상을 직접 이미지화 해서 관찰할 수 있습니다. 아울러 완전 파열이 동반된 경우에는, 인대 봉합이나 재건 수술을 해야하는지에 대한 중요한 정보를 제공하기도 합니다.
발목을 다치면 인대가 자주 다친다는데, 그럼 결국 MRI를 바로 찍어야하나요?
이번 글에서 가장 중요한 질문이라고 할 수 있습니다.
발목을 접지르면 보통 골절보다는 인대가 많이 다치고, 인대는 X-ray나 CT로 볼 수 없다는데, 그럼 발목을 접지르면 모두 MRI를 찍어야 할까요?
대답은 "대부분 아니다" 입니다.
앞으로도 자주 말씀드리겠지만, 진단 검사의 목적은 앞으로의 플랜을 설정하기 위한 것입니다. 다시 말하자면, 어떤 검사 결과에 따라 치료 방식이 크게 달라지는 경우라면 그 검사는 반드시 시행해야하는 검사이지만, 검사 결과에 관계없이 당분간의 플랜에 큰 차이가 없다하면 그 검사는 급하게 시행해야할 검사는 아니라는 말입니다.
발목 염좌는 앞서 말씀드린 것처럼 인대의 손상 정도에 따라 I에III단계까지 스펙트럼이 존재합니다. 그리고 실질적으로 대부분의 발목 염좌의 경우, 완전 파열에 해당한다고 하여도 바로 수술을 고려하는 경우는 없습니다.
발목염좌에서는 그 손상의 경중과 관계없이 우선 P.R.I.C.E.라는 보존적 처치를 하는 것이 중요하기 때문입니다.
P(Protect) : 부목등을 이용하여 다친 부위를 보호하는 것을 의미합니다.
R(Rest) : 다친 부위를 쉬게해주는 것을 말합니다. 목발을 이용하거나 침상 안정을 통해서 다친 부위 사용을 자제합니다.
I(Ice) : 다친 부위를 얼음찜질 해주는 것은 초기 염증 반응을 완화시켜주는 효과가 있어 통증의 정도 및 기간을 줄여줍니다.
C(Compress) : 압박붕대등으로 환부를 감싸주어 부종이 더 진행되지 않도록 해줍니다.
E(Elevate) : 다친 환부를 거상하여 (심장보다 높이) 혈류가 환부로 더 가지 않아 부종을 막아줍니다.
따라서, MRI를 고려할 경우는 다음과 같습니다 :
1. 명확한 높은 강도의 외상이 있거나 (발목관절 탈구나 개방성 골절 등)
2. 같은 부위의 염좌가 여러번 있고, 그 강도가 점점 심해지는 경우
위와 같은 경우는 MRI검사를 통해 인대의 파열 정도 및 수술적 처치의 필요성을 알 수 있게 도움을 줍니다.
발목 염좌의 보존적 치료와 수술적 치료 방법에 대해서는 다음 시간에 이어서 알아보도록 하겠습니다. :)
글을 마치며...
오늘은 살면서 한번 쯤은 다치는 우리의 소중한 발목에 대해서 알아보았습니다. 이해가 잘 되셨을까요? 의학지식이란 것이 정보 비대칭성이 강하고, 어려운 용어들이 많아 평소 병원에 가서 설명을 듣고 팜플렛을 보아도 이해가 잘 안되시는 부분이 많았을 것 같은데요, 제 글이 여러분들의 이해에 도움이 되었으면 좋겠습니다. :)
제 글이 도움이 되셨다면 '좋아요' 부탁드리고, 앞으로 이런 글들을 꾸준히 받아보시고 싶으시면 '구독' 부탁드립니다 ^^
아울러 댓글로 추가로 궁금하신 사항을 남겨주시면 친절하게 최대한 자세히 답변 드리고, 설명이 길어진다면 따로 시간을 마련해서 포스팅하도록하겠습니다 ^^
'정형외과정보 > 발목관절' 카테고리의 다른 글
| [정형외과전문의] 통풍에 대하여 - (3) 통풍 환자의 비약물적 치료 및 생활습관 교정 (2) | 2024.03.26 |
|---|---|
| [정형외과전문의] 통풍에 대하여 - (2) 통풍의 약물적 치료. (각 내과 질환별 상세 설명) (2) | 2024.03.25 |
| [정형외과전문의] 통풍에 대하여 - (1) 통풍에 대한 이해 및 오해 바로잡기 (2) | 2024.03.24 |
| [정형외과전문의][발목관절] 발목 염좌 재활운동 (1단계 : 수상 후 3-6주) (2) | 2024.03.19 |
| [정형외과전문의][족부질환] 내성발톱 / 내향성발톱 어떻게 치료하나요? (2) | 2024.03.08 |