글을 읽기전에 이런 글을 계속 받아보고 싶으시다면 '구독' 및 게시글에 '좋아요' 부탁드립니다 ^^
광고클릭은 한달에 커피 한잔이라도 제가 글을 작성하는 소중한 동력이 됩니다 :)
Prologue
지난 포스팅에서는 처음 들으면 생소한 어깨 관절에 생기는 석회성 건염에 대하여 알아보았습니다. 생각보다 많은 사람들이 겪게되는 질환이지만, 막상 나에게 석회가 생겼다고 하게되면 혼란스럽고 어떻게 해야할지 막막할 수가 있는데요. 이번 포스팅은 지난 시간에 이어서, 그렇다면 내 어깨에 자리잡은 석회를 어떻게하면 제거하고 치료할 수 있는가에 대하여 알아보도록 하겠습니다.
석회성 건염 1편 : https://davidorthopedic.tistory.com/39
[정형외과전문의][어깨질환] "어깨에 석회가 낀다구?" 어깨 석회화 건염 / 석회성 건염 - (1) 석회
글을 읽기전에 이런 글을 계속 받아보고 싶으시다면 '구독' 및 게시글에 '좋아요' 부탁드립니다 ^^ 광고클릭은 한달에 커피 한잔이라도 제가 글을 작성하는 소중한 동력이 됩니다 :) Prologue 어느
davidorthopedic.com

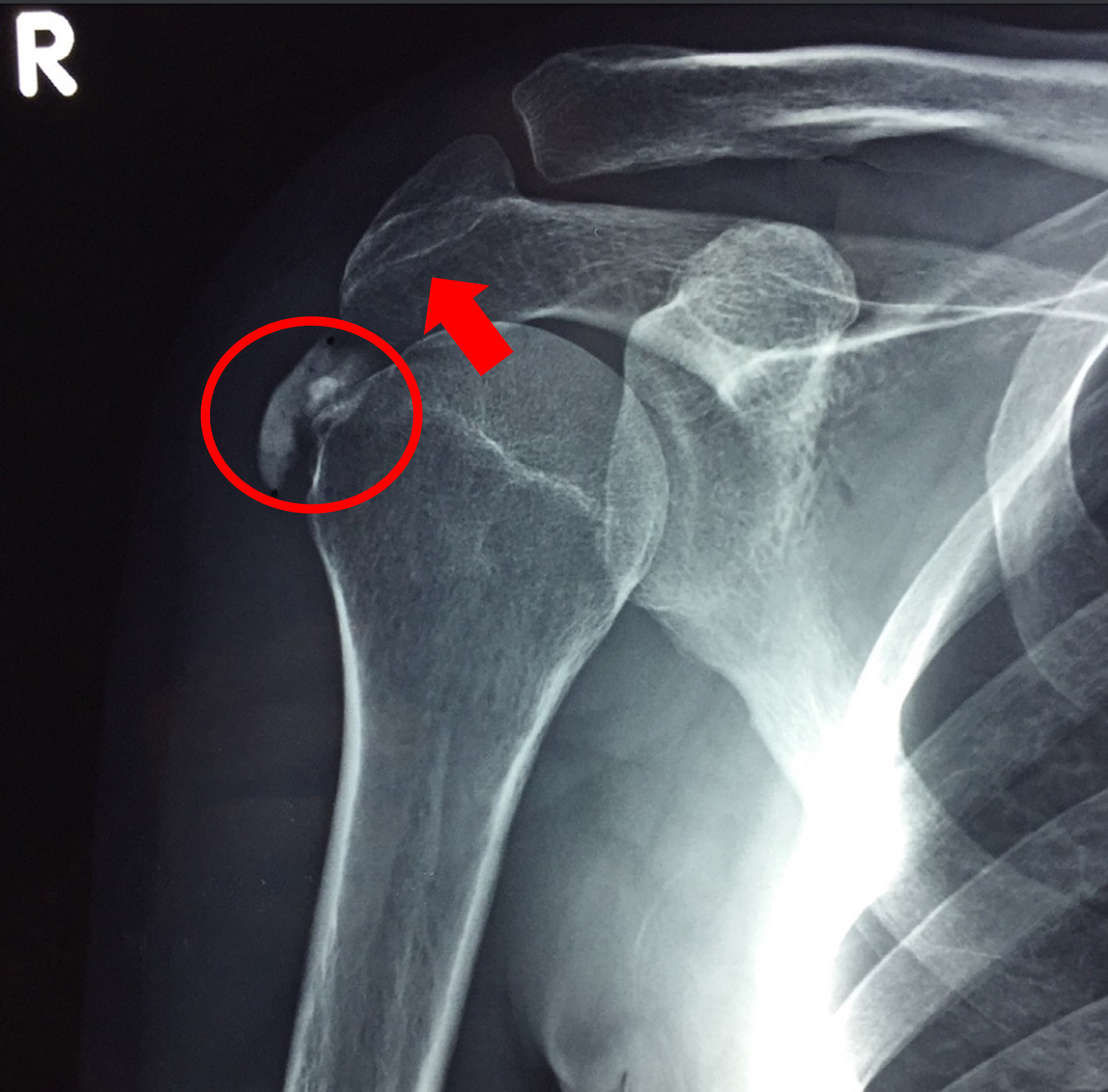
석회성 건염의 치료
석회성 건염의 치료 목적은 당장의 통증을 감소시키는 것과 형성기-휴지기-용해기라는 어쩔 수 없이 거쳐야 하는 자연적 경과를 앞당겨, 빠른 완치로 이끌어가는 데에 있습니다.

모든 정형외과 질환이 마찬가지이지만, 우선적으로는 수술적 처치보다는 보존적 처치를 선택하게 됩니다. 상식적으로 석회 결정이라는 물질이 내 어깨에 존재하는데, 이걸 수술로 당장 빼내야 하는 것 아닌가? 라고 생각하실 수 있지만, 앞서 포스팅에서 말씀드린대로, 질병이 자연적으로 경과하게 되면 치유가 일어나는 질환이기 때문에, 우선적으로 보존적 처치로 칼을 대지 않고 치료하게 되는 것입니다.
이미 형성된 석회 침착물이 녹으면서 주변에 염증반응과 함께 극심한 통증을 일으키는 급성 용해기에는 약물치료 및 다양한 시술을 통하여 완해 효과를 기대 할 수 있으며, 새로 석회 침착물이 생기는 형성기에는 물리적으로 커져버린 석회 침착물이 주변의 뼈나 근육들에 충돌하게 되는 징후 및 증상이 오랜 기간 지속되는 경우에는, 물리적으로 걸리적 거리는 부분을 제거해주기 위해 수술적 처치를 시행하기도 합니다.

보존적 처치? 수술을 안하고도 나을 수 있는건가요?
이 질문에 대한 대답은 "네, 그렇습니다." 입니다. 실제로 대부분의 어깨 관절 석회성 건염을 진단받은 환자분들은 보존적 치료 만으로도 좋은 결과를 얻을 수 있습니다.
환자분께서 주로 호소하는 어깨 통증에는 대표적인 진통소염제인 '비스테로이드성 소염제' (이부프로펜과 같은 종류입니다.)를 사용하고, 통증이 극심한 급성기에는 일부 환자에서 강한 진통 효과를 가지고 있는 마약성 진통제를 사용하기도 합니다. 또한 통증 자체는 경미하지만 만성적인 석회성 건염 환자에서는, 동결견과는 다르게 물리치료사 선생님이 시행해주시는 수동적인 신장 운동 (스트레칭)을 포함하여 열치료와 같은 물리치료에도 효과가 좋은 것으로 알려져 있습니다.

이런 보존적 치료가 효과가 있을 수 있는 이유는 많은 연구에서 이미 다뤄진 바가 있는데요, 대부분의 연구에서 "석회 침착물의 크기 자체가 통증에 미치는 영향은 거의 미미하다"고 보고하고 있습니다. 따라서 직접적으로 어깨에 존재하는 석회침착물의 크기를 줄이거나 제거하지 않아도, 환자분의 통증은 감소가 될 수 있는 것이지요.
위와 같은 방법으로 호전되지 않고 증상이 지속되는 환자의 경우에는 직접적으로 염증이 있는 부위의 염증을 완화시키고 석회 침착물의 크기도 줄일 수 있는 주사치료를 시행하는 것이 효과적입니다. 이때 주사제로는 마취제와 함께 스테로이드제를 혼합하여 사용하게 됩니다. 다만 스테로이드의 경우 자주 사용할 경우 전신 부작용이 있을 수 있어, 횟수를 최소화 하도록 노력해야합니다.
석회성 건염으로 주사를 맞았는데 석회 결정이 안없어졌어요. 주사를 잘못 놓은 건가요?
석회성 건염의 자연 경과중에서 석회 결정이 막 생겨나는 시기인 형성기에 통증이 심하신 환자분들이 있습니다. 이런 경우에도 역시 스테로이드 주사를 놓게 되는데요, 형성기에 주사를 놓는 이유는 갑자기 발생한 외부 물질이 어깨 내부 공간을 차지함으로써 발생하는 압박으로 통증이 발생하게 되는 것이어서, 주사를 놓는 목적이 일시적인 급성 통증의 완화에 있습니다. 따라서, 석회 결절이 녹는 시기인 융해기에 놓는 주사와는 그 기대하는 바가 다를 수 밖에 없습니다.
결론적으로 주사를 맞아도 환자분이 석회성 건염의 어느 시기에 주사를 맞으셨는지에 따라 석회 침착물이 없어질 수도 있고, 안 없어질 수도 있습니다! 더 중요한 것은 환자분이 주사를 맞고 증상이 좋아졌는지가 중요합니다 :)
최근에는 초음파로 석회 결정을 실시간으로 보면서, 휴지기에 있는 단단한 석회 결정을 바늘로 부수는 치료를 하기도 합니다. 여러 논문들에서 이에 대한 효과를 연구하였으며, 술자마다 다르지만 약 71%에서 91%의 환자에서 효과가 있었다고 보고되고 있습니다. 욜의사도 자주하고 아주 좋아하는 시술 중에 하나입니다!
의사선생님이 체외충격파를 꾸준히 받으라고합니다. 매출때문에 하라고 하는 것 아닌가요?

최근 동네 병원에서 체외충격파를 참 많이 시행하고 있습니다. 물론 간혹 체외충격파에 의한 효과가 충분히 연구되지 않은 질환에 대해서 무리하게 처방하시는 경우를 저도 많이 보았습니다. 하지만 체외충격파의 효과가 충분히 인정되고 있는 몇가지 질환이 있는데, 그 중에 하나가 바로 석회성 건염입니다.
석회성 건염에 체외충격파가 효과가 있다는 것을 이해하는 것이 사실 크게 어려운 일은 아닙니다. 석회 침착물이 모여있는 부위를 초음파로 표시를 하고, 해당 부위를 충격파를 쏴서 파쇄시킨다는 아주 1차원적인 개념으로도 이해가 가능한 방법입니다.
또한 체외충격파에는 단순하게 석회를 파괴하는 효과 이외에도 주변 조직에 혈류를 개선하는 부수적인 효과가 있습니다. 이는 파괴된 석회 주변의 조직의 혈류 개선을 통해서 정상 조직의 재생을 도와주는 효과가 있습니다.
물론 체외충격파 또한 전문적으로 숙련된 시술자에 의해, 올바른 강도로 정확한 부위에 받아야만 효과가 있는것이지, 무분별한 사용은 오히려 주변 조직에 상처를 줄 수 있습니다. 따라서 정형외과 전문의 선생님께 상담 받고 초음파나 다른 진단적 장비를 이용하여 정확한 위치를 표지해주시는지를 꼭 확인해보시는 것이 좋습니다 !
어깨 관절 석회성 건염의 수술적 치료
어떤 경우에 수술을 받아야 하나요?
앞서 언급한 다양한 비수술적 치료에도 통증이 지속되거나, 증상이 점점 악화되어 '일상생활에 지장이 발생하는 경우' 수술적 치료를 고려해야하며, 그 비율은 전체 환자 중에 약 10%에 해당됩니다. 보통 6개월 가량의 보존적 치료에도 반응이 미미한 환자분들에게 권유하고 있습니다.
수술은 어떤 방식으로 시행하나요?
수술적 치료 방법은 의료 기술이 발달함에 따라 대부분 관절경, 즉 카메라를 이용한 석회 결절 제거술을 보편적으로 이용하고 있습니다. 관절경을 이용한 치료는, 기존에 시행하던 개방적 수술에 비해서 피부 절개를 크게 하지 않고 작은 구멍을 통해서 수술을 시행하기 때문에, 피부 미용적으로도 우수할 뿐 만 아니라, 카메라를 조작하면서 주변 다른 조직들의 상태 확인에도 용이합니다. 또한 절개선이 작음으로 인해 다른 정상 조직을 크게 건들이지 않고 수술을 한다는 장점이 있어, 수술 후에도 재활하는 속도가 개방적 수술을 하는 것에 비해서 더 조기에 시행할 수 있는 장점이 있습니다.

수술의 목표는 석회를 완전하게 제거하는 것에도 있겠지만, 더 중요한 것은 석회를 완전히 제거하지 못하더라도, 형성된 경계를 뚫어줌으로써 감압 효과를 노리는 것이 더 중요하다고 볼 수 있습니다.
관절경 수술의 장점으로 이러한 석회제거를 함과 동시에, 어깨 관절의 충돌증후군 및 회전근개 손상을 일으킬 수 있는 견봉하 공간을 관찰하여, 지속적인 충돌로 인한 마모 등이 관찰된 경우, 견봉 감압술 (회전근개를 압박하는 돌출된 골 구조물 제거)을 동시에 시행할 수 있다는 장점이 있습니다.
글을 마치며...
오늘은 어깨에 생긴 골칫덩이, 석회성 건염의 치료에 대해 알아보았는데요, 이해가 잘 되셨을까요?
의학지식이란 것이 정보 비대칭성이 강하고, 어려운 용어들이 많아 평소 병원에 가서 설명을 듣고 팜플렛을 보아도 이해가 잘 안되시는 부분이 많았을 것 같은데요, 제 글이 여러분들의 이해에 도움이 되었으면 좋겠습니다. :)
제 글이 도움이 되셨다면 '좋아요' 부탁드리고, 앞으로 이런 글들을 꾸준히 받아보시고 싶으시면 '구독' 부탁드립니다 ^^
아울러 댓글로 추가로 궁금하신 사항을 남겨주시면 친절하게 최대한 자세히 답변 드리고, 설명이 길어진다면 따로 시간을 마련해서 포스팅하도록하겠습니다 ^^
'정형외과정보 > 어깨 및 팔꿈치관절' 카테고리의 다른 글
| [정형외과전문의][어깨질환] "어깨에서 소리가 나요" 어깨 충돌 증후군 - (2) 어깨 충돌 증후군의 치료 (1) | 2024.04.09 |
|---|---|
| [정형외과전문의][어깨질환] "어깨에서 소리가 나요" 어깨 충돌 증후군 - (1) 어깨 충돌 증후군의 이해 (0) | 2024.04.01 |
| [정형외과전문의][어깨질환] "어깨에 석회가 낀다구?" 어깨 석회화 건염 / 석회성 건염 - (1) 석회성 건염의 이해 (0) | 2024.03.29 |
| [정형외과전문의][팔꿈치관절] 테니스 엘보우 / 외상과염에 대하여 (Tennis Elbow / Lateral Epicondylitis) (1) | 2024.02.27 |
| [정형외과전문의][어깨관절] 오십견 / 동결견 재활운동 (0) | 2024.02.26 |