글을 읽기전에 이런 글을 계속 받아보고 싶으시다면 '구독' 및 게시글에 '좋아요' 부탁드립니다 ^^
광고클릭은 한달에 커피 한잔이라도 제가 글을 작성하는 소중한 동력이 됩니다 :)
Prologue
어느날 갑자기 어깨가 아파서 동네 정형외과를 찾았는데, 어깨에 석회가 끼었다는 이야기를 들어보셨을까요? 석회라고하면 동굴같은데나 매달리는 종유석 같은게 생각날 정도로 생소한 물질인데.. 내 어깨에 이런 이상한 물질이 생겼다고하니 매우 놀라실 겁니다. 석회라는건 대체 내 어깨에 왜 생기는 것일까요? 그리고 석회가 생기면 왜 갑자기 이런 극심한 통증이 생길까요? 석회를 제거하기위해서 수술을 하는 방법 밖에 없을까요? 오늘은 이러한 궁금증을 해결해드리기 위해 포스팅을 작성해 보도록 하겠습니다.

석회성 건염이란 무엇인가요?
어깨 관절 내에는 지난 포스팅에서 살펴보았듯이 회전근개라는 것이 존재하고, 이 회전근개의 파열이나 손상시에 나타나는 것을 회전근개 증후군, 회전근개 파열이라고 합니다.
https://davidorthopedic.tistory.com/18
[정형외과질환][어깨관절] 회전근개 증후군 및 파열에 대하여
글을 읽기전에 이런 글을 계속 받아보고 싶으시다면 '구독' 및 게시글에 '좋아요' 부탁드립니다 ^^ 여러분의 관심이 제 포스팅에 원동력이 됩니다 :) Prologue 테니스나 배드민턴을 좋아하시는 분들
davidorthopedic.com
어깨 관절에서 석회는 이러한 회전근개에 생기게 됩니다. 1909년 Codman이라는 저명한 정형외과 선생님께서 처음으로 회전근개 내부에 칼슘이 침착되는 질환에 대해서 언급하게 되었습니다.
많은 수의 정형외과 질환이 퇴행성으로 노화가 진행됨에 따라 발생하지만, 석회성 건염은 퇴행성 질환이 아닌 활성 회전근개, 즉 활발하게 활동하는 회전근개에 칼슘염이라는 침착 물질이 유발시키는 반응성 석회화 질환입니다.
석회라니.. 제가 특이한 체질인걸까요..?
일반적으로 전 세게 인구에서 약 10%에 달하는 환자분들이 석회성 건염을 진단받는 것으로 알려져있습니다. 가장 많이 발생하는 연령을 40-50대 환자인 것으로 보고되고 있습니다. 그리고 70대 이상 환자에게서는 석회성 건염이 발견되는 경우가 드물어, 대부분의 환자들이 40-50대에 발생 후 자연적으로 치유되는 것으로 보고 있습니다.
석회성 건염이 발생하는 위치는 회전근개를 이루고 있는 4개의 건 중에서 극상건에 호발한다고 보고되고 있으며, 그 빈도는 논문마다 다르지만 51%에서 82%까지도 보고되고 있습니다.
성별로는 남성보다는 여성 환자에서 더 많이 발생하는 것으로 알려져있습니다. 그리고 회전근개 증후군과 같은 기타 어깨질환과 달리 힘든 일을 하는 노동자보다 주부나 가벼운 노동에 종사하는 근로자에서 오히려 더 많이 나타나는 것으로 보여집니다.
어깨를 다친 전력이 있는 분들에게 더 많이 발생한다는 연구결과는 없습니다만, 당뇨와 같은 전신 질환은 상관관계가 있는 것으로 알려져있습니다. 당뇨는 치료 방법에도 영향을 줄 수 있는 중요한 질환입니다.
석회성 건염의 진행
석회성 건염은 사람의 일생처럼 각각 독특한 시기를 거치면서 진행하게 됩니다. 그리고 각 시기마다 특징이 뚜렷하고 치료에 반응하는 정도가 다르기 때문에, 어느 시기에 해당하는지를 파악하는 것이 성공적인 석회성 건염의 치료에 중요하다고 할 수 있습니다.
석회화 전기 (precalcific phase)
이 시기에는 건강했던 회전근개의 인대 부위에 존재하는 인대 세포(tenocyte)가 연골세포(chondrocyte)로 전환되는 시기입니다. 변형된 세포들로 인해 기존에 건강하던 인대 조직들에는 산소의 공급이 원할하게 진행되지 않게됩니다. 하지만 이 시기에는 아직 석회 침착이 실질적으로 발생하지도 않은 시기이고, 통증 또한 동반되지 않는 시기입니다.
석회화기 (calcific phase)
석회 결정이 침착하는 시기로 석회화기는 다음과 같은 3가지 시기로 또 나뉘게 됩니다.
1. 형성기 (formative phase) : 석회결정이 본격적으로 침착되는 시기로, 이 시기에는 석회가 마치 분필 가루와 같은 모습을 띄게 됩니다.

2. 휴지기 (resting phase) : 이 시기에는 변형된 조직이, 생성된 석회와 주변 조직을 차단하여, 아무런 상호작용도 일어나지 않게 만드는 시기입니다.
3. 용해기 (resoprtive phase) : 이 시기에는 차단되었던 석회 주변으로 신생 혈관들이 자라나면서 몸의 면역 반응을 담당하는 세포들이 석회 성분을 먹어치우는 시기입니다. 형성기에 분필가루와 같은 모습을 띄던 석회는 이 시기에는 치약이나 연고와 같은 성상을 보입니다. 이 먹어치우는 과정에서 자라난 혈관들과 함께 주변 세포들에는 염증반응이 일어나게되어 극심한 통증이 발생하게 되는 것입니다. 이 시기에 석회 조각이 클수록 인접한 인대의 파열 확률이 높다는 보고도 있습니다.

석회화 후기 (postcalcific phase)
변형된 건 세포에 다시 새롭게 건이 형성되는 단계입니다.
석회성 건염은 어떻게 진단하나요?
증상과 신체검사
석회가 생겨나는 석회화 형성기에는 특별한 증상이 없는 경우가 많아 우연히 발견되는 경우가 많습니다. 만성적으로는 간헐적으로 발생하는 어깨 바깥 부위의 통증, 그리고 충돌증후군처럼 팔을 들기 힘든 증상을 호소하기도 합니다. 특히 팔을 앞으로 들 때, 70도에서 110도 정도까지 올리는 동작에서 통증이 발생하는 것이 매우 특징적입니다.
환자에 따라서는, 석회성 침착물이 큰 경우 팔을 움직이면서 석회가 어깨 오구 돌기 부분에 걸리는 듯한 느낌을 호소하는 분들도 계십니다.
하지만 역시 가장 흔한 것은, 석회 침착물이 있는 부위를 누를 때 느껴지는 '압통' 입니다.
질병이 경과하여 석회 용해기(resorptive phase)에 다다르게 되면, 급성 증상으로 극심한 통증 등이 나타나게 됩니다. 팔을 거의 움직이지 못하는 정도의 통증을 호소하는 분들이 많은 시기가 바로 이 용해기입니다. 환자분들께 여쭤보면, 특별히 어딘가 다친 적은 없지만, 간혹 과도하게 팔을 갑자기 쓰고난 다음이나 경미한 외상으로 특별할 것 없는 손상 후에 극심하게 통증이 심해지는 분들이 있기도 합니다.
이러한 통증의 특이한 점은 주로 야간에 통증이 심해진다는 것입니다. 또한 잠 잘때, 옆으로 누워서 잘 자던 분들이 아픈 쪽 어깨로 누우면 통증으로 인해서 잠을 들 수 없는 것도 특징적인 소견입니다.
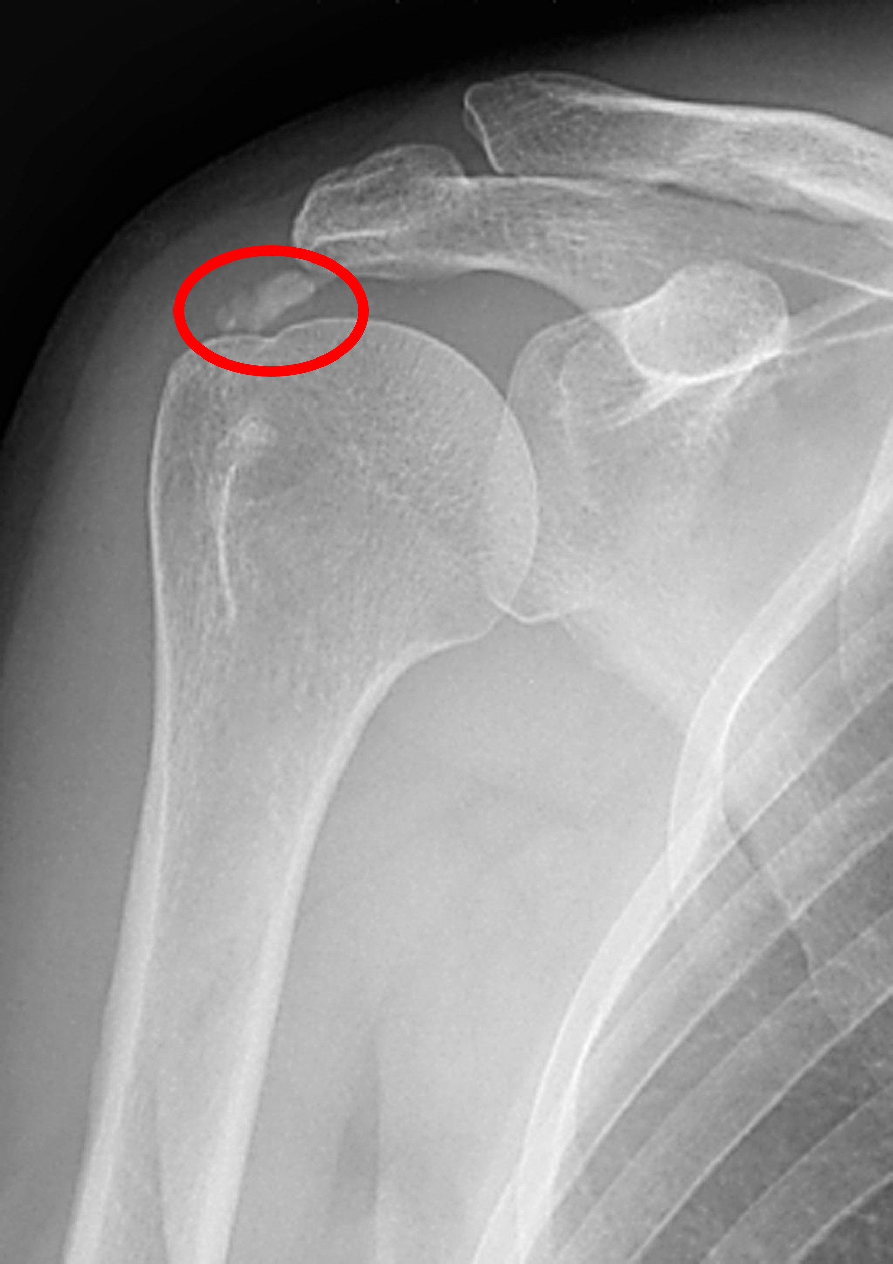
영상의학적 검사
대부분의 석회성 건염의 환자에서, 석회가 형성된 이후 모든 시기에서 단순 X-ray 촬영만으로도 석회의 존재를 확인할 수 있게 됩니다. 대부분의 경우에는 회전근개가 상완골에 붙는 부착부위로부터 1-2cm 상방 부위에 석회 결정이 있는 것을 확인 할 수 있습니다. X-ray 영상상 석회가 명확하게 보일수록 더 질병이 진행되고 통증이 심할 것이라 생각하실 수 있습니다만, 실질적으로는 석회가 솜털같이 보이는 시기가 위에 말씀드린 연고와 같은 형태의 석회 물질을 이루는 용해기여서, 통증이 한층 더 심하다고 할 수 있습니다. 반면에 분필처럼 딱딱하게 경계가 명확하게 나타나는 석회가 발견되는 경우에 환자분들은 오히려 통증을 덜 호소하는 경우가 많습니다.

석회 침착물의 크기가 작거나 용해기처럼 솜털과같은 양상을 띄고 있는 경우에는, 단순 X-ray 촬영보다 초음파 영상을 통해서 진단하는 것이 더 쉽고 정확하게 진단할 수 있습니다. 또한 초음파의 경우 진단적 목적과 함께 병변을 실시간으로 보면서 병변 부위에 동시에 주사치료를 시행할 수 있어 각광받고 있습니다.
이 밖에 환자분들이 정밀검사를 원하셔서 요청하시는 CT나 MRI가 있을 수 있습니다만, CT 촬영은 석회 침착의 위치를 찾는데 3D적인 그림을 제공해준다는 점에서는 의미가 있지만, 치료 방침에 영향을 미칠 정도는 아니기에 일상적으로 추천되진 않습니다. MRI의 경우에는 앞서 언급한대로 석회 침착물이 용해되면서 발생하는 회전근개의 파열 정도를 파악하고, 수술적 처치가 필요할 정도로 손상된 부분이 있는지 확인하는 데에는 유용한 검사입니다.

석회성 건염인것 같다고 진단 받았는데, 혹시 더 큰 문제가 있진 않을까 걱정됩니다.
석회성 건염은 어깨의 다른 질환들과 비슷한 증상을 보이는 경우가 많아 감별진단을 정확하게 해야 하는 경우가 많습니다. 이러한 감별진단을 위해서 앞서 언급한대로 초음파와 MRI가 큰 도움이 되기 때문에, 병원 방문시에 전문의 선생님께서 MRI 촬영을 권하신다면 이러한 이유 때문에 촬영해보자고 하시는 것이라 생각하시면 되겠습니다. 상대적으로 외국에 비해서 검사 비용이 저렴한 우리나라의 경우 이런 때 아주 큰 도움이 됩니다. (물론 환자분들 입장에선 큰 돈일 수 있지만.. 외국에 비해서 1/10밖에 안되는 금액으로 정밀 검사를 할 수 있다는 것은 정말 큰 축복입니다!)
석회성 건염으로 인해 통증이 심한 경우에는, 이 통증으로 인해 팔을 움직이려 하지 않기 때문에 동결견과 감별이 필요합니다.
https://davidorthopedic.tistory.com/6
[정형외과질환][어깨관절] 오십견 / 동결견에 대하여
글을 읽기전에 이런 글을 계속 받아보고 싶으시다면 '구독' 및 게시글에 '좋아요' 부탁드립니다 ^^ 여러분의 관심이 제 포스팅에 원동력이 됩니다 :) Prologue 정형외과 진료를 보다보면 가장 많이
davidorthopedic.com
감별점은 통증의 심한 정도와 통증이 발현되는 속도가 동결견보다 석회성 관절염의 경우 급속도로 진행된다는 점이 있을 수 있습니다. 그리고 동결견 포스팅에서 말씀드린 것처럼, X-ray 촬영을 하여 석회 결정이 존재하는지 확인하는 것이 중요하겠지요? 또한 동결견과 다르게 석회성 관절염의 경우 통증이 좋아지면 관절 운동 범위가 다시 회복되는 것이 중요한 감별 포인트가 되겠습니다.
외부의 균이 관절 내부로 침투해서 발생하는 화농성 관절염의 경우, 관절이 다 녹아버릴 수 있는 위험한 질환이기에 조기 감별이 매우 중요합니다. 이를 감별하기 위해서는, 극심한 통증이 발생한 환자에서 어깨 주변의 열감이 있거나, 어깨 통증으로 인해 침이나 주사치료 등 침습적인 치료를 받은 적이 있는 환자의 경우 지체없이 혈액검사를 통해 염증 수치가 상승했는지 파악해야합니다. 또한 MRI검사를 통해 어깨 관절 내의 농양이 있지는 않은지 확인해 볼 수 있으며, 관절액을 직접 빼내는 관절액 천자 검사를 통해 농이 생겼는지 직접 확인하는 방법도 있습니다. 화농성 관절염은 발견되는 즉시 응급수술해야하는 질환이므로 이러한 검사를 하는데 있어서 고민해서는 안됩니다!
글을 마치며...
오늘은 어깨에 생긴 골칫덩이, 석회성 건염에 대해 알아보았는데요, 이해가 잘 되셨을까요?
의학지식이란 것이 정보 비대칭성이 강하고, 어려운 용어들이 많아 평소 병원에 가서 설명을 듣고 팜플렛을 보아도 이해가 잘 안되시는 부분이 많았을 것 같은데요, 제 글이 여러분들의 이해에 도움이 되었으면 좋겠습니다. :)
제 글이 도움이 되셨다면 '좋아요' 부탁드리고, 앞으로 이런 글들을 꾸준히 받아보시고 싶으시면 '구독' 부탁드립니다 ^^
아울러 댓글로 추가로 궁금하신 사항을 남겨주시면 친절하게 최대한 자세히 답변 드리고, 설명이 길어진다면 따로 시간을 마련해서 포스팅하도록하겠습니다 ^^
'정형외과정보 > 어깨 및 팔꿈치관절' 카테고리의 다른 글
| [정형외과전문의][어깨질환] "어깨에서 소리가 나요" 어깨 충돌 증후군 - (1) 어깨 충돌 증후군의 이해 (0) | 2024.04.01 |
|---|---|
| [정형외과전문의][어깨질환] "어깨에 석회가 낀다구?" 어깨 석회화 건염 / 석회성 건염 - (2) 석회성 건염의 치료 (2) | 2024.03.30 |
| [정형외과전문의][팔꿈치관절] 테니스 엘보우 / 외상과염에 대하여 (Tennis Elbow / Lateral Epicondylitis) (1) | 2024.02.27 |
| [정형외과전문의][어깨관절] 오십견 / 동결견 재활운동 (0) | 2024.02.26 |
| [정형외과질환][어깨관절] 오십견 / 동결견 치료에 대하여 (0) | 2024.02.18 |