글을 읽기전에 이런 글을 계속 받아보고 싶으시다면 '구독' 및 게시글에 '좋아요' 부탁드립니다 ^^
여러분의 관심이 제 포스팅에 원동력이 됩니다 :)
Prologue
정형외과 진료를 보다보면 가장 많이 만날 수 있는 증상 중 하나가 바로 "선생님 어깨를 움직일 수가 없어요." 입니다.
사람의 상지 관절 중에 어깨 관절은 가장 큰 관절이기에, 갑자기 어깨가 움직이지 않으면 환자분들에게는 매우 당혹스러운 일이 아닐 수 없습니다. 간단한 집안일부터, 직장을 다니시는 분들에게는 업무적인 부분까지 영향을 주기 때문에 병원을 바로 찾아오시는 경우가 많습니다. 이 증상이 당혹스러운 것은 비단 증상 자체 뿐만이 아니라, '어제까지만 해도 잘 움직이던 어깨가 안움직이기 때문' 입니다. 마치 자고일어나니 말이 안나오는 동화 속의 벙어리 공주 처럼, 환자분들의 당혹감이 매우 큰 증상입니다. 오늘은 바로 그 증상, "동결견"에 대해서 알아보도록 하겠습니다.
오십견이란게 대체 뭔가요?
오십견(동결견)은 어깨의 회전근개에 염증이나 손상으로 인해 발생하는 통증과 운동장애를 동반하는 질환입니다. 주로 어깨 관절을 구성하는 연부조직인 회전근개를 포함하는 어깨 주변 근육과 힘줄, 그리고 관절을 감싸는 주머니인 관절낭이 영향을 받아 발생합니다.

정형외과적으로 오십견은
"관절낭 내의 관절액 감소 및 만성적인 염증성 변화로 인하여 관절의 구축 및 관절낭의 비후가 일어나서 상완골두에 타이트하게 매달리는 질환"으로 정의하고 있습니다.
결론적으로 관절 주변의 조직의 변화로 인해 관절의 움직임이 제한되는 상태라고 표현하고 있습니다.
어떤사람에게 잘 발생하나요?
연령이 증가함에 따라 유병률, 즉 발병 빈도가 더 높아지며, 특히 40세 이상에서 더 많이 나타납니다. 빅데이터를 이용한 논문들에 의하면 40-70세 사이에서 그 빈도가 더 우세하다고 합니다.
특이하게도 다른 관절 질환들은 보통 많이 사용하는 쪽의 관절이 먼저 손상이 온다고 되어있지만, 동결건의 경우는 그 이름 그대로 관절이 얼어버리듯 발생하는 질환이기에 그런지, 잘 사용하지 않는 쪽의 어깨에서 더 빈발한다고 보고되고 있습니다. 하지만 양측에서 나타나는 경우도 20-30%정도의 빈도로 보고되고 있습니다.
성별로는 남성에서보다는 여성에서 더 자주 나타나는 것으로 나타나고 있습니다.
기저질환 또한 중요한 요인입니다. 당뇨가 있는 경우는 없는사람보다 약 5배 더 호발하며, 목디스크 환자, 장기간동안 침대에 누워 요양을 한 환자, 갑상선 기능 항진증이 있는 경우, 뇌졸중이나 심근경색을 겪은 환자의 경우, 자가면역 질환을 진단 받은 환자들에서 더 많이 발견되고 있습니다.
하지만 이중에서 가장 중요한 요인은 거동하지 않은 기간이 얼마나 긴 것인가 입니다.
다시 말하자면, 40-70세 사이의 여성으로, 당뇨나 갑상선 질환을 앓고 있거나, 장기간 요양을 한 환자라면, 다른 환자들보다 더 높은 확률로 본인이 잘 사용하지 않는 어깨에 오십견이 발생할 수 있다는 것입니다.
어떠한 증상이 나타날까요?
오십견 환자에게서 가장 먼저 나타나는 증상은 어깨 관절 가동범위의 제한입니다.
제일 처음으로는 팔을 안쪽으로 굽히는 동작(내회전)이 제한되며, 이는 화장실에서 볼일을 본 후 뒷처리를 하거나, 머리를 빗는 등의 동작에 제한을 주기 시작합니다.

이후에는 팔을 앞방향으로 위로 들어올리는 동작과 바깥은로 돌리는 외회전 동작에 제한이 생기게 됩니다.

이러한 관절 운동 범위의 제한이 있다고 해서 바로 오십견을 의심하는 것은 아닙니다. 오십견의 관절 운동범위 제한의 특징은 바로, 능동적으로도 관절을 움직일 수 없지만, 타인에 의한 수동적인 관절 운동 범위의 기계적인 제한이 발생한다는 것입니다. 쉽게말하자면, 나 혼자서 움직여보려고해도 안되고, 다른사람이 그 안되는 동작을 힘으로 도와주려고 해도 움직이지 않는다는 것입니다. 이는 어깨관절낭의 섬유화로 인한 강직에 의한 것으로, 오십견의 전형적인 특징이라고 할 수 있습니다. 말그대로 "딱딱하게 관절이 얼어버리는" 것 입니다.
오십견의 증상이 움직임의 제한에서만 끝난다면, 환자분들은 좀 더 집에서 지내보면서 경과를 지켜볼 것입니다. 하지만 결국 병원을 찾을 수 밖에 없는 이유는 바로 '통증' 때문입니다.
오십견은 처음에는 일상생활 중 관절가동범위 제한으로 인한 약간의 통증으로 시작하지만, 이내 밤잠을 설칠 정도로 지속되는 야간 통증과 아픈 어깨 쪽으로 누워서 잘 수 없는 극심한 환측 통증으로 병원에 방문하시게 됩니다.
오십견은 다 같은 오십견인가요?
아닙니다. 오십견은 크게 일차성 오십견과 이차성 오십견으로 나뉩니다.
일차성 오십견은 다른 외적인 원인 없이 자연적으로 발생한 오십견을 의미하며, 이차성 오십견은 다른 사건이나 사고, 질환등에서 유발된 것입니다.
일차성 오십견의 경우에는 다음과 같은 단계를 거칩니다.
1단계 : 통증 단계입니다. 서서히 진행되는 단계이며, 광범위한 부분에 모호한 어깨 통증을 호소합니다. 짧게는 1,2주에서, 길게는 수개월까지 점점 악화되는 통증을 호소합니다. 환자분들은 점점 밤 시간에 통증을 호소하게되며, 아픈 어깨쪽으로 누워 자는 것이 힘들다고 호소하십니다. 이러한 결과로 점점 아픈 팔을 덜 쓰게되면서 어깨의 강직이 심해지게됩니다.
2단계 : 강직 단계. 이러한 통증을 경감하기 위하여 환자분들 스스로 어깨 관절 운동을 제한하게 되는 단계입니다. 4-12개월간 지속될 수 있으며, 이젠 일상생활 활동에서조차 어려움을 호소하시게 됩니다. 단적인 예로, 남자분들은 뒷주머니의 지갑을 꺼내기 힘들다거나, 여성분들은 속옷 후크 등을 채우는 것이 힘든 지경에까지 오게 됩니다. 통증은 이전과달리 둔통이 주된 양상이며, 역시 밤에 특히 심해지게됩니다. 때로 인터넷으로 찾아보시고는 스트레칭을 해보시지만, 가동범위 끝 부분에서 아주 날카로운 통증을 호소하시게 되는 것이 특징입니다.
3단계 : 해동 단계. (실제로 이렇게 부릅니다 ㅎㅎ) 서서히 운동 가동 범위가 좋아지며 통증도 줄어드는 단계입니다. 특별한 치료가 없었어도, 환자분들은 대부분 움직임이 거의 정상으로 돌아왔다고 느끼십니다. 그러나 실제로는 어깨관절 대신에 팔꿈치 관절 등 인접 관절을 더 움직이는 경우나, 불편한 것에 대해 일상적으로 적응이 되어버린 것입니다. 그 결과 많은 경우에서 실제로 정형외과 전문의가 신체진찰을 해보면, 관절가동범위의 제한이 남아있는 분들이 대부분입니다. 이는 평생 갈 수 있는 아주 중요한 기능 저하입니다.
어떻게 진단하나요?
여기부터 환자분들과 의료인 사이에 정보의 비대칭성이 가장 심하게 발생하는 부분입니다. 잘 읽어주세요!
많은 분들이 정형외과에 내원하시면, 우선 의사선생님을 만나뵙고 본인의 증상을 이야기 하시게됩니다. 환자분들은 보통 "그래서 내가 지금 아픈 원인이 무엇인가요?"를 듣고싶어하시기 때문에, 문진 이후에 어떠한 검사를 하는지, 그리고 그 결과가 어떤지에 대해 굉장히 궁금해 하십니다. 그렇기에, 전문의 판단에는 특별히 어떠한 검사를 하지 않아도 진단이 가능한 경우에도, 환자분들은 "아니 어깨가 아파서 왔는데 아무것도 검사 안하고 약만주고 환자를 보낼 수가 있나요?"라는 생각이 드실 수 있습니다.
제가 앞으로 쓸 글 들에세 진단 방법에 대해 드리는 설명은, 각 검사가 어느정도 필요한 검사이고, 어떠한 한계가 있는지, 그리고 비용이 들더라도 꼭 해야하는지에 관해 환자분들의 이해를 돕기 위한 내용을 위주로 쓰려고합니다.
영상의학적 검사 :
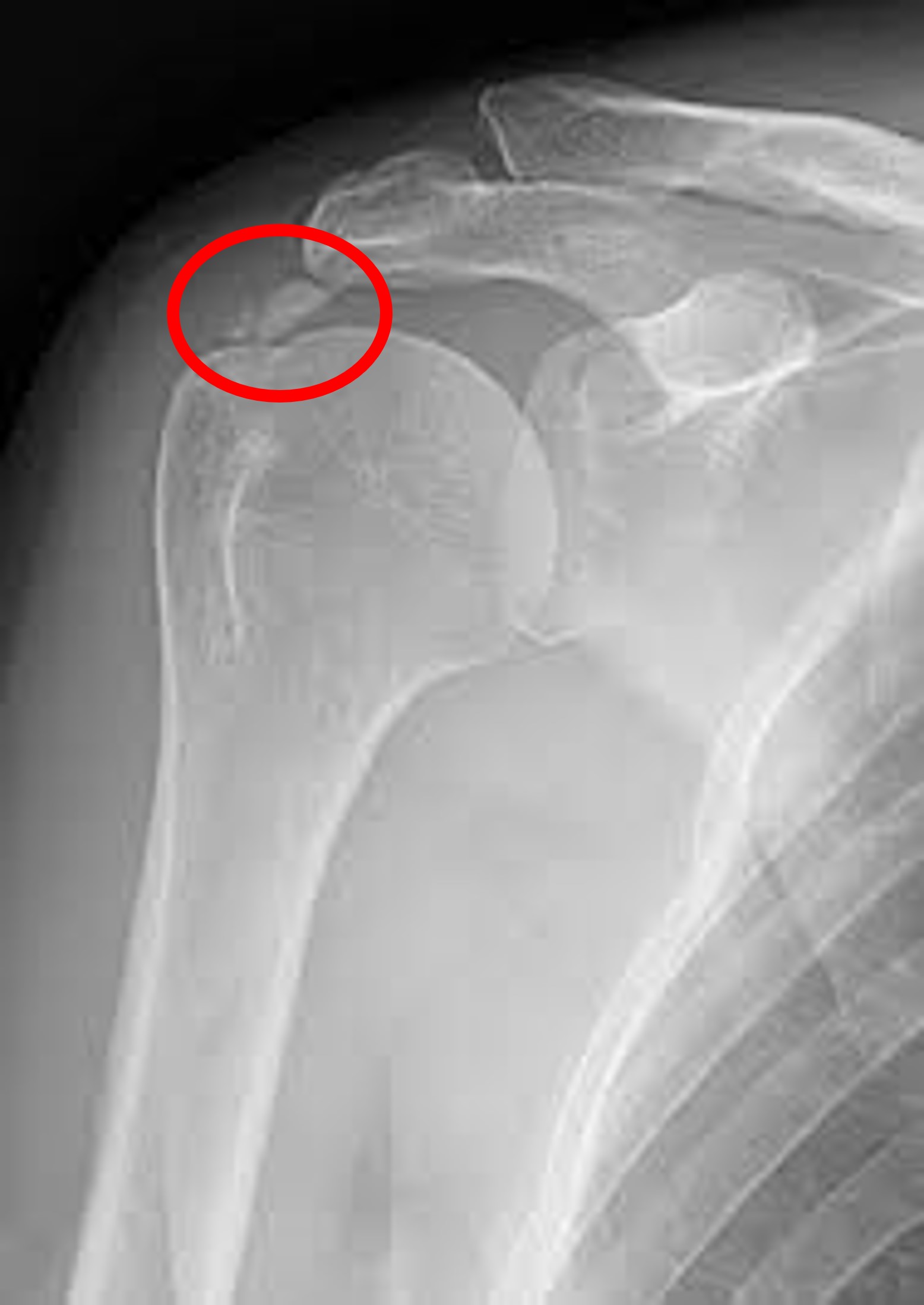
1. X-ray 검사 :
정형외과에 방문하시게되면 가장 많이 하시게 되시는 검사입니다. 가장 기본적이면서도 가장 먼저 감별해야할 위험한 진단을, 예를 들면 골절이나 골종양 등을 발견할 수 있게 해주는 값싸고도 고마운 검사입니다.
동결건에서 X-ray는 사실 진단에 큰 역할을 하기보다는, 그 기저 질환이 무엇인지 알아낼 수 있는 장치로써, 기본적으로 촬영하게 되는 검사입니다.
앞에서 말씀드린 이차성 동결건의 원인 중 하나인 석회성 건염이 있는지를 감별하게 해주며, 관절염이 심하게 진행되신 분들도, 단순 엑스레이 검사를 통해서 감별이 가능합니다.


그러니 병원 방문 전 어느정도 동결건에 대해서 인터넷으로 검색해보고 가셨다고 하시더라도, "X-ray로 별거 안보이는데 왜 찍나요? 돈벌려고 하는거 아닌가요?"라는 말씀은 하지 말아주세요 ^^;;
2. 관절 조영술 :
쉽게 말하자면, 관절낭(관절주머니)이 얼마나 섬유화가 되어 탄력성이 없어졌는지를 검사하는 것입니다. 앞서 말씀드린대로 오십견이 오게되면 관절낭에 섬유화가 진행되어 강직이 오게되는데요, 이는 곧 관절을 감싸고 있는 주머니의 유연성이 떨어진다는 의미입니다. 관절 조영술은 이 관절 주머니 내부의 부피를 측정하는데 용이한 검사입니다. 보통 어깨 관절낭 주머니의 부피는 28-35ml라고 알려져 있습니다. 이를 관절 조영술을 시행하여 보았을 때 10ml이하로 측정이 되게 되면, 동결견을 강력하게 의심한다고 볼 수 있습니다. 하지만 일반적으로 자주 시행하는 검사는 아닙니다.
3. MRI :
사실상 동결견을 진단하는데 가장 중요한 진단 방법입니다. MRI는 우리 몸에 있는 물 분자들을 자기장을 이용하여 회전을 주어 그 신호를 이미지로 형상화 하는 기계입니다. X-ray는 X선을 쏴서 발생하는 그림자를 통해 이미지를 만들기에 뼈가 아닌 연부조직들, 즉 근육이나 인대, 관절낭 등은 이미지화 시킬 수가 없다는 점이 한계이지만, MRI는 이러한 연부조직 들 모두 수분을 가지고 있기에 이미지화 할 수 있는 장점이 있습니다.
오십견이 의심되는 환자에서 MRI를 찍는 이유는 앞서 말씀드린 관절낭이 얼마나 질겨졌는지를 확인하기 위한 것입니다.
오십견에서는 관절낭의 섬유화가 만성적으로 진행되었기 때문에, 관절낭 주머니의 두께가 일반사람보다 상당히 비후된 것을 확인할 수 있습니다. (4mm 이상인 경우 진단 가능) 특히 오십견 환자에서 제한되는 내회전과 전방거상, 외회전등에 중요하게 관여하는 액와주변 관절낭과 그 주변 인대조직들의 비후를 관찰 할 수 있습니다.

또한 이차성 동결건의 원인이 될 수 있는, 석회성 건염, 회전근개 증후군 및 파열 등을 진단하는데에도 MRI는 아주 효과 적인 검사 방법입니다.
오십견인거 같다고 가자마자 MRI를 찍으라고 하는데 찍어도 될까요?
동결건이라고해서 모두 MRI를 촬영해야만 하는 것은 아닙니다. 모든 검사들이 그렇지만, 환자분의 현재 여건을 고려하여 시행되야만 합니다.
일반적으로 오십견 환자가 내원한 경우에는, 문진과 신체진찰만으로도 어느정도 진단이 가능하며, X-ray를 통하여 몇몇가지 감별해야 할 진단도 거를 수가 있습니다.
하지만 환자분이 증상을 호소하신지 오래되셨고, 증세가 심해 수술적 치료가 필요한 경우에는 MRI를 통한 진단 및 정확한 병변 부위의 확인이 큰 도움이 될 수 있습니다. 주사치료를 하는 경우에도 섬유화 및 만성 염증이 심한부위나 이차성 오십견의 원인이 되는 병변을 정확하게 파악한다면, 주사를 놔야할 곳을 정확하게 타겟하여 놓을 수 있겠지요?
결론적으로, 여러번 병원을 방문하여 치료를 해보았으나 호전이 없거나, 특별히 어깨를 다친적이 있는 경우 (이차성 오십견이 의심되는 경우) MRI를 촬영해 보는 것을 권고드립니다.
치료방법은 어떤게 있나요?
각각의 치료방법의 세세한 내용에 대해서는 따로 다루겠지만, 역시나 크게 비수술적인 치료법과, 수술적인 치료법이 있습니다.
오십견의 치료가 중요하게 대두되고 있는 이유는, 이전에는 12-18개월간 자체적으로 병변의 회복이 이루어지며 큰 후유증이 없는 것으로 생각되어졌으나, 최근 논문들에서는 약 10% 가까운 환자군에서 일상생활에 큰 제한을 주는 후유증을 초래한다고 보고되고 있기 때문입니다.
또한 오십견은 여러 논문들에서, 빠른 진단 후 치료를 빨리 시작 할 수록 그 회복 속도가 현저히 빠른 것으로 보고되고 있습니다. 또한 오십견이 온 방향이 평소에 자주 사용하는 어깨라면, 더 좋은 경과를 나타낸 다는 것으로 보고되고 있습니다.
비수술적 치료방법:
- 약물요법: 진통제 및 염증억제제의 사용
- 물리치료: 전기자극 치료 및 초음파를 이용한 심부열 치료.
- 운동요법: 운동치료사의 도움으로 처음엔 수동적 관절가동운동부터 시작하여, 능동적 관절가도운동으로 진행하게 됩니다. 하지만 앞서 말씀드린 동결견의 특징상 (수동관절범위마저 제한되버리는) 수동적 관절 운동이 가장 중요합니다.
**자세한 운동요법은 추후 오십견 운동 항목에서 다루겠습니다. -> 추후 링크 첨부 예정.
수술적 치료 방법: 수술은 보다 심각한 경우나 비수술적 치료가 효과가 없을 때 고려됩니다만, 대부분의 환자가 12-18개월의 치료기간을 견디기 힘들어합니다. 대한정형외과 학회에서는 4-6개월 안에 보존적 처치로 해결이 되지 않는 경우에 수술적 치료를 고려하도록 권고하고있으며, 보험 심사 기준에 맞춰 각 주치의의 판단 하에 수술적 치료를 결정하게 됩니다.
방법에는 크게, 마취하 도수조작을 이용한 해방술, 관절경을 이용하여 관절낭의 섬유화된 부분을 찢어주는, 관절낭 유리술 등이 있습니다.
**자세한 수술 방법은 추후 오십견의 수술적 처치 항목에서 다루겠습니다. -> 추후 링크 첨부 예정.
글을 마치며...
오늘은 우리가 살면서 흔히 마주칠 수 있는 어깨 질환 중 하나인 오십견에 대해 알아보았는데요, 이해가 잘 되셨을까요?
의학지식이란 것이 정보 비대칭성이 강하고, 어려운 용어들이 많아 평소 병원에 가서 설명을 듣고 팜플렛을 보아도 이해가 잘 안되시는 부분이 많았을 것 같은데요, 제 글이 여러분들의 이해에 도움이 되었으면 좋겠습니다. :)
제 글이 도움이 되셨다면 '좋아요' 부탁드리고, 앞으로 이런 글들을 꾸준히 받아보시고 싶으시면 '구독' 부탁드립니다 ^^
아울러 댓글로 추가로 궁금하신 사항을 남겨주시면 친절하게 최대한 자세히 답변 드리고, 설명이 길어진다면 따로 시간을 마련해서 포스팅하도록하겠습니다 ^^
'정형외과정보 > 어깨 및 팔꿈치관절' 카테고리의 다른 글
| [정형외과전문의][어깨질환] "어깨에 석회가 낀다구?" 어깨 석회화 건염 / 석회성 건염 - (1) 석회성 건염의 이해 (0) | 2024.03.29 |
|---|---|
| [정형외과전문의][팔꿈치관절] 테니스 엘보우 / 외상과염에 대하여 (Tennis Elbow / Lateral Epicondylitis) (1) | 2024.02.27 |
| [정형외과전문의][어깨관절] 오십견 / 동결견 재활운동 (0) | 2024.02.26 |
| [정형외과질환][어깨관절] 오십견 / 동결견 치료에 대하여 (0) | 2024.02.18 |
| [정형외과질환][어깨관절] 회전근개 증후군 및 파열에 대하여 (1) | 2024.02.14 |