글을 읽기전에 이런 글을 계속 받아보고 싶으시다면 '구독' 및 게시글에 '좋아요' 부탁드립니다 ^^
여러분의 관심이 제 포스팅에 원동력이 됩니다 :)
Prologue
테니스나 배드민턴을 좋아하시는 분들에게 엘보우만큼 아주 친숙한 질환이 있습니다. 바로 회전근개 증후군 또는 회전근개 파열입니다. 점점 취미생활을 향유할 수 있는 시간이 늘어나면서, 중장년층에서 많이 즐기는 테니스나 배드민턴 동호회가 활발해지고, 아울러 어깨 통증을 주소로 병원에 찾아오시는 환자분들도 늘고 있습니다. 왕년에는 서브도 강하게 넣고, 스윙 동작도 매끈해졌는데.. 점점 자주 찾아오는 통증과 팔을 들어올릴 수 없는 지경까지 와 버린 내 어깨, 대체 어떤게 문제이고 어떻게 치료해야할까요?
회전근개란 무엇인가요?
회전근개는 우리의 어깨 관절 주위에 위치하는 근육과 인대들의 집합체(근-건 집합체)를 의미합니다. 극상근(supraspinatus), 견갑하근 (subscapularis), 극하근(infraspinatus), 그리고 소원형근
(teres minor) 총 4개로 이루어져있습니다. 이들은 우리의 윗팔을 들거나 바깥쪽으로 돌리는 동작인 '외전'을 담당하는 구조로써, 근유 자체만으로도 관절의 안정성에 중요한 역할을 담당하고 있습니다.

정형외과적으로 회전근개 중후군은
"성인 어깨에 발생하는 만성 통증의 가장 흔한 원인으로 해부학적인 변형, 증상과 징후 모두를 포함하는 증후군"으로 정의하고 있습니다.
결론적으로 위에 언급한 해부학적 구조물들에 발생하는 다양한 손상이나 질환들로 인해 발생하는 어깨의 만성 통증을 유발하는 증후군이라고 이해하시면 될 것 같습니다.
어떤사람에게 잘 발생하나요?
회전근개 증후군 중 초기 단게의 회전근개에 염증이 발생하는 흔히 말하는 '충돌 증후군'의 단계를 지나, 본격적으로 병적인 상태를 유발하는 상태를 '회전근개 부분 파열' 이라고 칭합니다. 회전근개를 이루는 근-건 복합체가 완전히 다 찢어진 것은 아니지만, 일정 비율이 손상이 되어 발생하는 상태를 말합니다.
회전근개 부분파열의 유병률은 약 32% 정도로 알려져있습니다. (대한정형외과학 교과서 기준.) 다른 관절의 질환들과 마찬가지로, 오래도록 사용할 수록 그 피해가 누적되기 때문에, 연령이 증가함에 따라 유병률이 현저하게 증가하는 것으로 보고되고 있습니다. 심지어 60세 이상 인구에서 증상이 없는 경우에도 그 유병률이 26%로 보고되고있어, 그리 멀지 않은 곳에 있는 질환인 것을 실감 할 수 있습니다.
회전근개 파열은 내인성 요인과 외인성 요인 두가지가 복합적으로 작용하는 것으로 알려져 있습니다.
내인성 요인은 환자의 신체가 가지고 있는 내부적인 질환이나 조건들로 인해 발생하는 것으로, 연령이 증가함에 따라 노화로 인해 대사 활동이 저하되고, 회전근개를 이루고 있는 인대(건)들에 영양분을 공급하는 혈관의 변성으로 인해 젊을 때에 비해서 쉽게 인대가 끊어지는 것을 의미합니다. 이 변성들은 섬유조직의 세포수 감소부터 흔히 우리가 말하는 석회가 끼는 것까지 다양한 스펙트럼을 가지고 있습니다.
외인성 요인은 이와 상반되는 외부적인 요인으로 회전근개의 역할 중 하나인 윗팔을 들어올리는 증상과 관련이 있습니다. 우리가 팔을 들어올리게되면 회전근개의 지붕을 형성하고 있는 극상건이 어개 앞쪽의 볼록한 뼈 구조인 '견봉'과 맞닿게 되어있습니다. 본래 이 둘의 사이에는 완충역할을 하는 점액낭이란 것이 존재하게 되는데, 이 충돌이 반복적으로 이어질 경우 점액낭의 조직들에 염증이 발생하게 되어 윗팔을 들어올릴때마다 통증이 발생하게 되는데, 이것이 바로 우리가 흔히 알고 있는 '충돌증후군'입니다. 충돌증후군은 이렇게 조직의 충돌에 의해서 통증이 발생하는 것을 일컫는 하나의 상태적 표현이며, 이러한 일련의 과정이 반복되게 되면, 결국에는 완충역할의 한계를 넘게되어 극상건에 흠집이 나기 시작하게 됩니다. 이것이 바로 외인성 요인에 의한, 즉 기계적 충돌에 의한 회전근개 부분 파열에 해당되는 것입니다.

이 외에도, 과거에 어깨가 탈구가 된 적이 있는 환자의 경우, 어깨 관절이 정상인에 비해 불안정하게되어, 이것이 결국 회전근개에 필요 이상의 힘을 가하게 되어 파열된다고 보는 이론도 존재하며, 교통사고와 같은 외상이 어깨에 직접 가해진 경우에도 회전근개의 파열이 있을 수 있습니다.
어떠한 증상이 나타날까요?
회전근개 파열의 진단이 늦어지는 이유는, 이것이 어떠한 뚜렷한 외상적 사고 이후에 발생하는 경우도 있지만, 대부분의 경우에는 특별한 손상이 없거나, 경미한 손상에 의해서, 예를 들면 헬스장에서 운동을 열심히 하거나, 테니스 게임을 오랜만에 하고 나서, 발생하는 경우가 매우 많기 때문입니다. 그렇기 때문에 회전근개 파열에서만큼은 전문의가 시행하는 주의깊은 병력 청취와 특징적인 신체진찰을 통해 회전근개 파열을 조기에 의심하는 것이 중요합니다.
가장 흔한 증상은 어깨부위와 윗팔 외측 부위, 흔히 상박부 외측부라고 표현하는 삼각근 주변부의 통증을 들 수 있습니다. 또한 통증으로 인한 어깨 관절 운동범위의 제한 또한 들 수 있습니다. 일반적으로 환자들은 파열 부위의 염증반응으로 인해 야간에 잠을 잘 수 없을 정도의 통증을 호소하거나 가벼운 운동 후에도 극심하게 심해지는 어깨 통증을 호소하기는 하지만, 이들 모두 회전근개 파열에서만 나타날 수 있는 아주 특징적인 소견이라고 볼 수는 없습니다.
정형외과 의사들조차 당황하게 하는 것이 하나 더 있습니다. 보통 일반적인 생각으로는 인대가 파열된 정도가 클수록, 환자들이 호소하는 통증이 더 클 것이라고 생각하기마련인데요, 회전근개에서는 그렇지 않습니다. 환자들의 주관적인 통증 정도를 파악하기 위해 사용하는 시각 통증 척도 점수 (Visual Analogue Scale)가 5점이 넘는 중등도의 통증을 호소하는 환자의 비율이, 회전근개 부분파열 환자에서는 73.3%인 것에 반해, 완전히 파열된 환자에서는 50%에서만 나타나는 것으로 보고되고 있습니다.
어떻게 진단하나요?
여기부터 환자분들과 의료인 사이에 정보의 비대칭성이 가장 심하게 발생하는 부분입니다. 잘 읽어주세요!
회전근개 파열에 대한 진단은, 앞서 말씀드린대로 그 증상의 종류와 정도가 모호한 경우가 많기 때문에, 신체진찰과 그에따른 의심 부위에 적절한 영상의학적 검사가 수반되어야지 정확하기 이루어질 수 있습니다.
제가 앞으로 쓸 글 들에서 진단 방법에 대해 드리는 설명은, 각 검사가 어느정도 필요한 검사이고, 어떠한 한계가 있는지, 그리고 비용이 들더라도 꼭 해야하는지에 관해 환자분들의 이해를 돕기 위한 내용을 위주로 쓰려고합니다.
영상의학적 검사 :
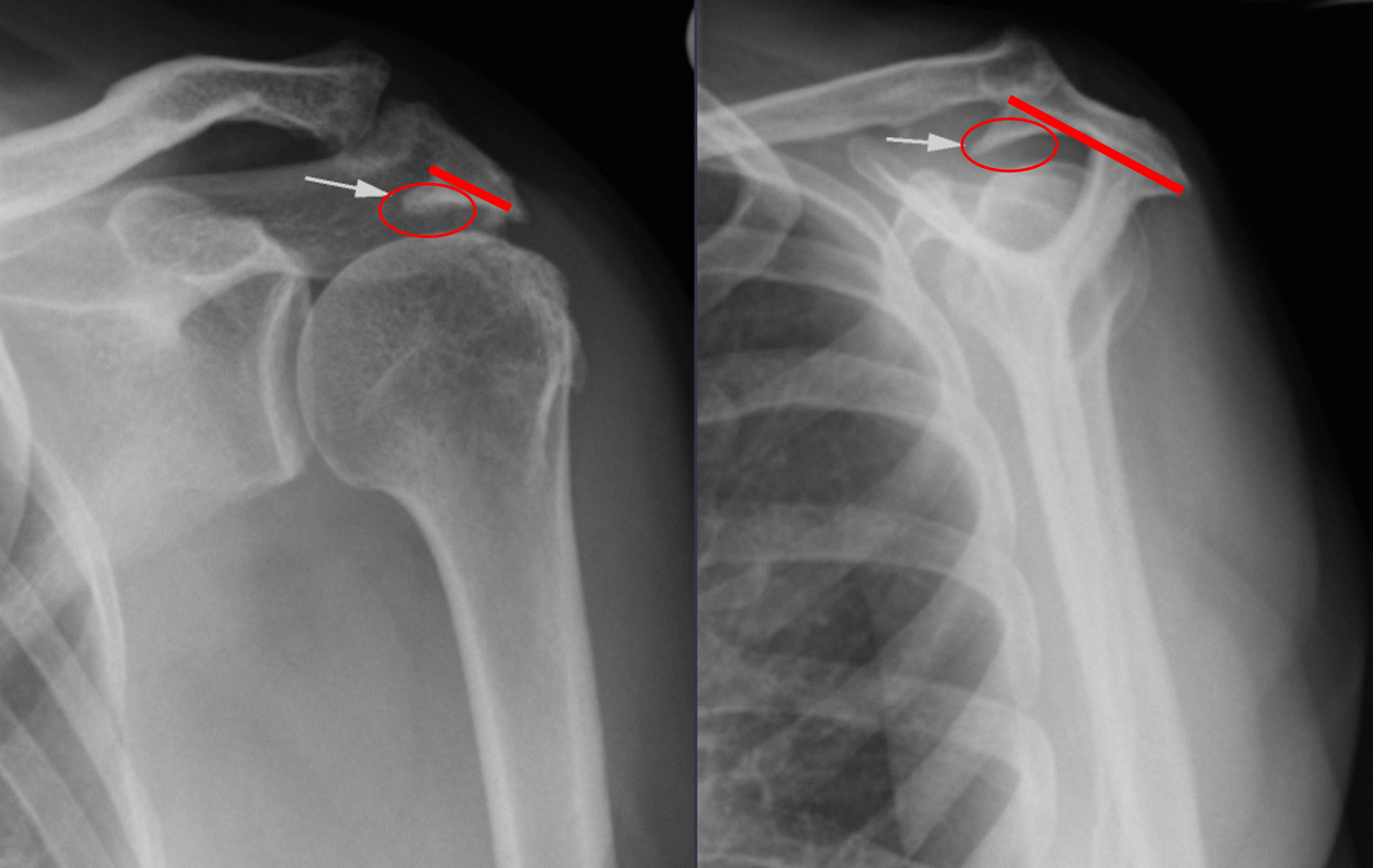
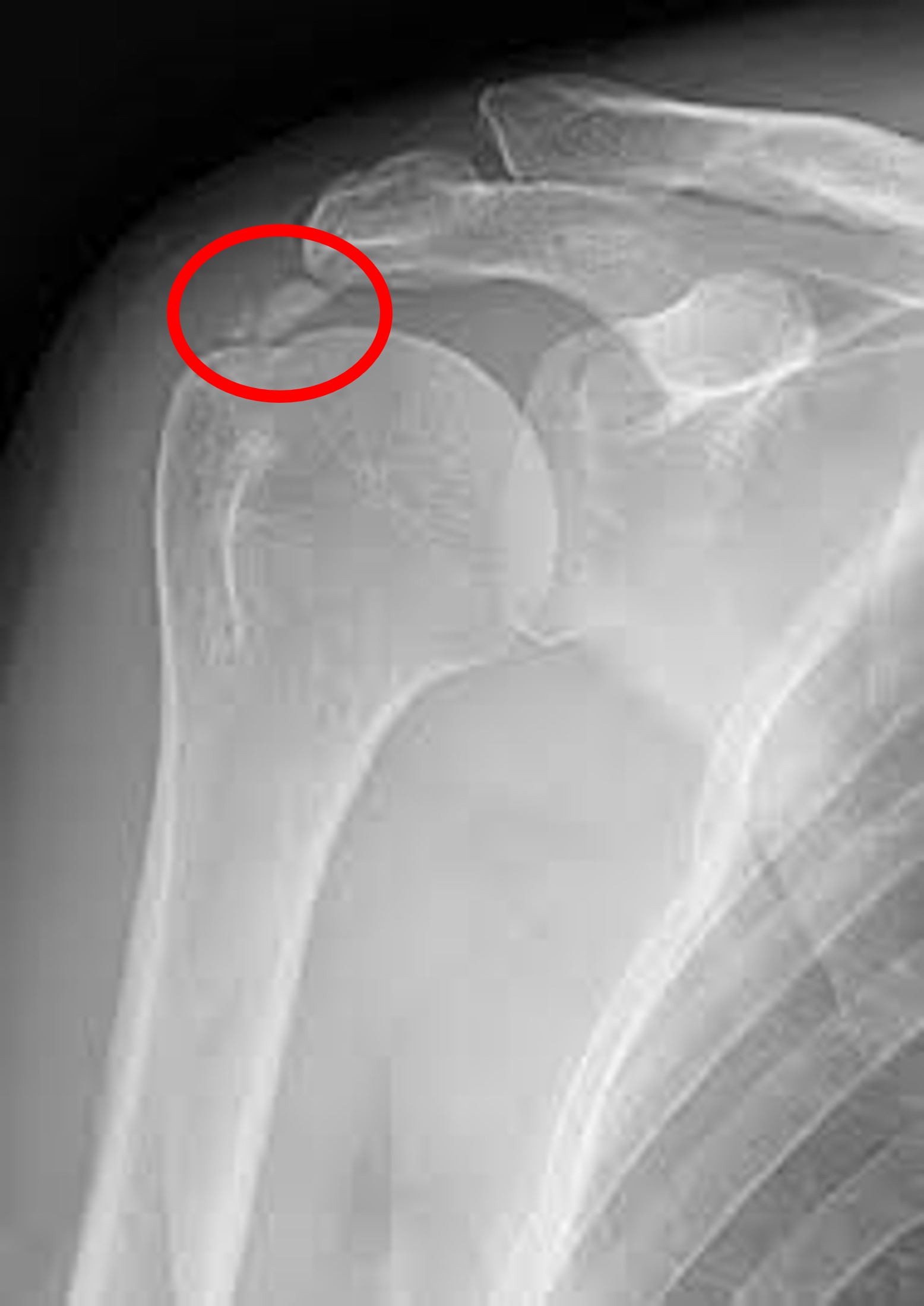
1. X-ray 검사 :
정형외과에 방문하시게되면 가장 많이 하시게 되시는 검사입니다. 가장 기본적이면서도 가장 먼저 감별해야할 위험한 진단을, 예를 들면 골절이나 골종양 등을 발견할 수 있게 해주는 값싸고도 고마운 검사입니다.
회전근개 파열에서 X-ray는 검사의 특성상, 직접적으로 인대를 시각적으로 보여줄 수 없기 때문에, 인대 그 자체에 대한 진단보다는, 인대의 파열을 유발할 수 있는 기저 병변이 있는지를 알아낼 수 있는 장치로써, 기본적으로 촬영하게 되는 검사입니다.
앞에서 말씀드린 회전근개 파열의 내인성 요인 중 하나인 석회가 있는지를 감별하게 해주며, 어깨를 많이 쓰는 직업을 가지신 환자분들의 경우, 극상건과 충돌하는 견봉에 퇴행성 변화중 하나인 '골극'이라는 뾰족하게 솟아오른 골조직을 확인할 수 있습니다. 이 골극이 심한 경우에는 이 골극 자체가 극상건에 손상을 가속하게 되므로, 회전근개 파열을 강력하게 의심할 수 있으며, 추후 수술 시에 단순하게 파열된 회전근개만을 봉합하는 것이 아니라, 추후 재 파열을 일으킬 수 있는 골극을 제거하기 위해서 계획을 짜는데 중요한 역할을 하게 됩니다.


그러니 병원 방문 전 회전근개에 대해서 인터넷으로 검색해보고 가셨다고 하시더라도, "X-ray로 인대찢어진거 안보이는데 왜 찍나요? 돈벌려고 하는거 아닌가요?"라는 말씀은 하지 말아주세요 ^^;;
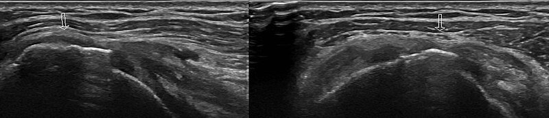
2. 초음파 :
초음파는 X-ray에서 관찰할 수 없는 연부조직들인 인대, 근육, 관절 내 염증 물질 등을 관찰할 수 있는 검사입니다. MRI에 비해서 저렴한 비용으로 검사할 수 있으며, 정적인 자세로 오랫동안 누워있어야 이미지를 얻을 수 있는 MRI와 다르게, 환자의 신체를 이리저리 움직이면서 다이나믹하게 여러부위를 실시간으로 관찰할 수 있는 장점이 있습니다. 다만 초음파 기기의 특성상 술자의 숙련도에 따라 얻을 수 있는 이미지의 편차 및 진단률의 차이가 있을 수 있습니다.
초음파는 파열된 회전근개 건조직을 직접적으로 이미지화 시킬 수 있으며, 염증이 심한 경우 동시에 주사치료를 시행할 수 있는 장점이 있어, 널리 사용되는 검사입니다.

3. MRI :
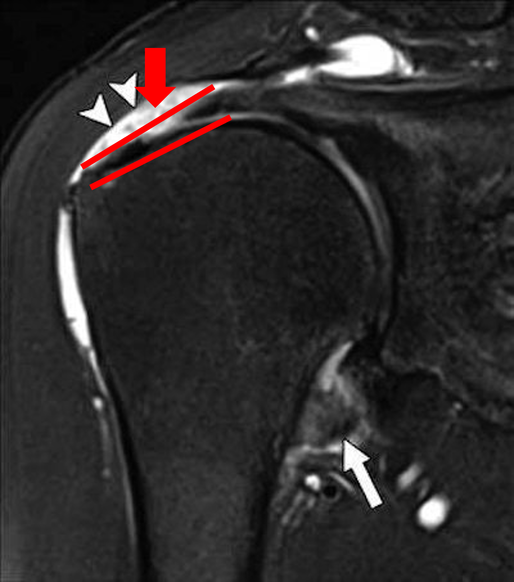
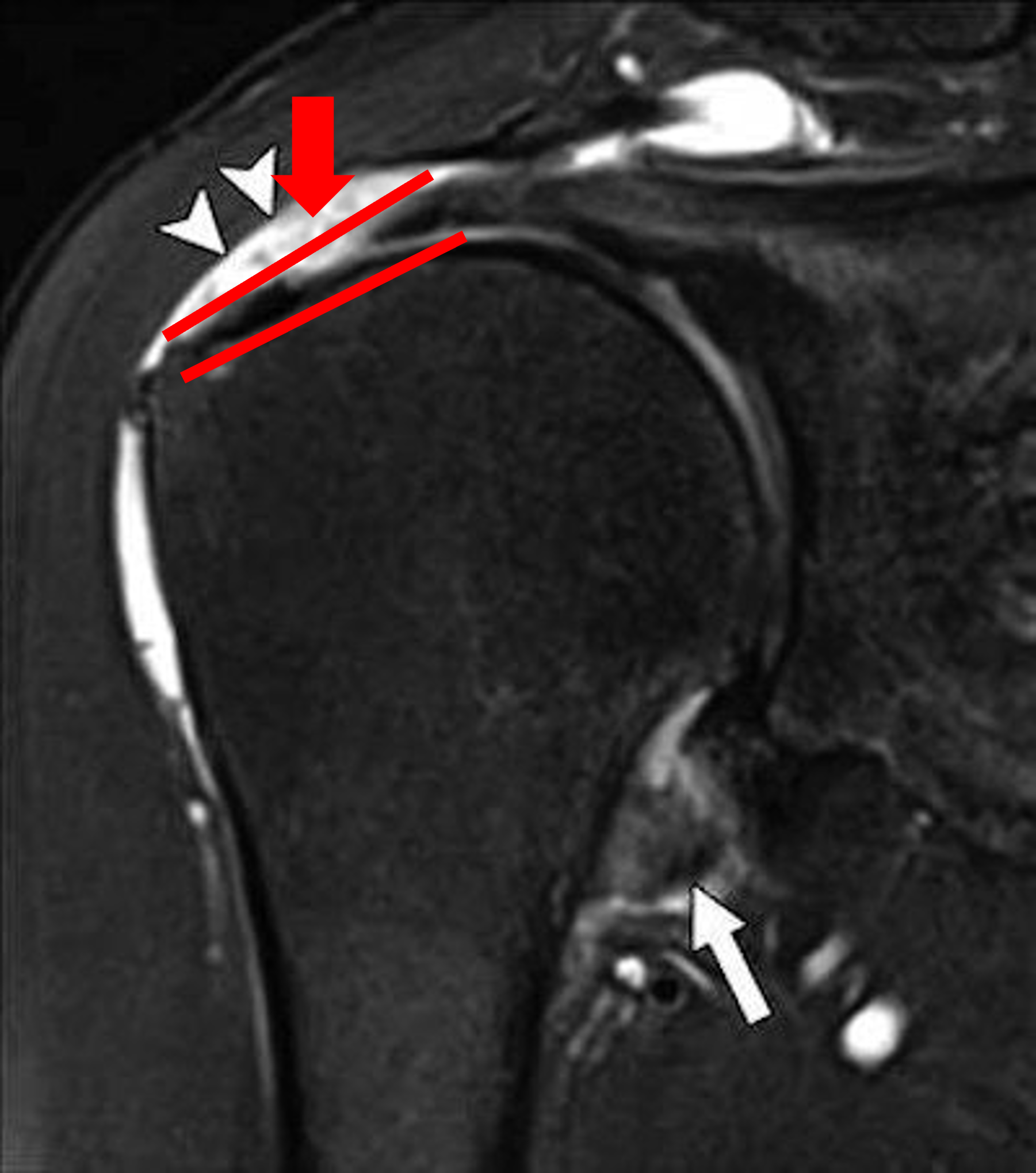
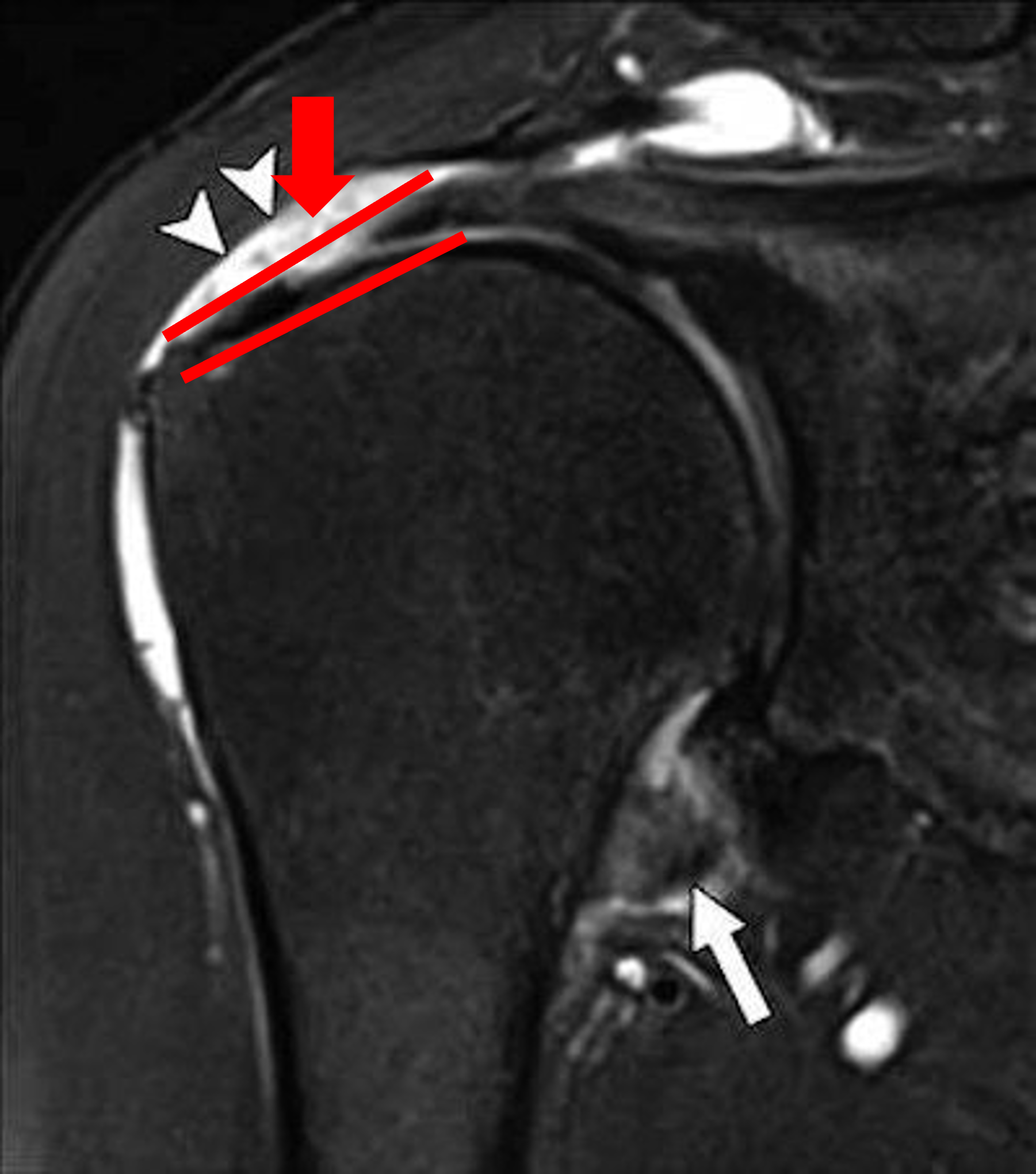
사실상 회전근개파열을 진단하는데 가장 중요한 진단 방법입니다. MRI는 우리 몸에 있는 물 분자들을 자기장을 이용하여 회전을 주어 그 신호를 이미지로 형상화 하는 기계입니다. X-ray는 X선을 쏴서 발생하는 그림자를 통해 이미지를 만들기에 뼈가 아닌 연부조직들, 즉 근육이나 인대, 관절낭 등은 이미지화 시킬 수가 없다는 점이 한계이지만, MRI는 이러한 연부조직 들 모두 수분을 가지고 있기에 이미지화 할 수 있는 장점이 있습니다.
회전근개파열이 의심되는 환자에서 MRI를 찍는 이유는 진단 자체에만 있는 것이 아닙니다. 진단만을 위한 경우에는 숙련된 초음파 술자의 경우 초음파만으로도 파열을 진단할 수 있기 때문인데요, 그렇다면 MRI는 왜 촬영하는 것일까요?
제가 정형외과 관련된 글을 쓰면서 여러번 반복하여 말씀드린 내용이 있습니다. 진단적 검사는 결국, 치료의 방침, 즉 플랜을 결정하기 위해 시행하는 것입니다. MRI를 찍었을 때와, 찍지 않았을 때, 그 치료방법이나 추후 플랜이 바뀌지 않는다면 굳이 MRI를 비싼 비용을 들여 촬영할 이유가 없을 것입니다. 하지만 MRI결과에 따라 그 플랜이 바뀌게 된다면, 검사를 꼭 해봐야겠죠?
MRI는 회전근개의 손상 부위를 정확하게 이미지화함과 동시에, 파열의 크기, 깊이, 그리고 주변 다른 조직의 손상을 동시에 관찰하게 해줍니다. 이는 결국 파열된 회전근개를 주사치료 정도만 해도 될 것인지, 아니면 파열이 커서 수술적 처치로 봉합을 해야할 것인지를 결정해주는 중요한 자료가 됩니다.

회전근개 파열인거 같다고 가자마자 MRI를 찍으라고 하는데 찍어도 될까요?
회전근개 파열이 의삼된다고해서 모두 MRI를 촬영해야만 하는 것은 아닙니다. 모든 검사들이 그렇지만, 환자분의 현재 여건을 고려하여 시행되야만 합니다.
일반적으로 회전근개 손상의 경우 통증이 발생한 초기에는 대부분 충돌증후군에 의한 염증성 통증이 대부분이기 때문에, 증상조절을 위한 치료가 대부분입니다. 아픈 쪽 팔의 사용을 자제하고, 염증성 통증을 조절하기 위한 소염제를 복용하는 등의 치료를 하게 되는 것이죠. 이러한 경우에도 대부분 통증은 좋아지기 마련입니다.
하지만 환자분이 증상을 호소하신지 오래되셨고, 증세가 심해, 단순한 염증이나 미세한 파열을 넘어 수술적 치료가 필요할 정도로 회전근개의 큰 크기의 파열이 의심되는 경우에는 MRI를 통한 진단 및 정확한 병변 부위의 확인이 큰 도움이 될 수 있습니다. 주사치료를 하는 경우에도 완충효과를 하는 점액낭 중 어느 부분이 염증성 물질이 모여있는지 병변을 정확하게 파악한다면, 주사를 놔야할 곳을 정확하게 타겟하여 놓을 수 있겠지요?
또한 교통사고와 같은 비교적 심한외상을 당한 경우에도, 회전근개의 직접직인 충격에 의한 파열이 있을 수 있어 MRI를 촬영해 볼 수 있습니다. 이런 경우 완전파열이 발생하는 경우가 많고, 그 특성상 파열된 극상건이 빨리 조치가 취해지지 않게 되면 안쪽으로 말려들어가 추후 수술이 힘들어질 수 있기 때문입니다.
결론적으로, 여러번 병원을 방문하여 치료를 해보았으나 호전이 없거나, 특별히 어깨를 다친적이 있는 경우 MRI를 촬영해 보는 것을 권고드립니다.
**수술 방법을 비롯한 회전근개 파열의 치료법은 추후 따로 다루겠습니다. -> 추후 링크 첨부 예정.
글을 마치며...
오늘은 운동 꽤나 좋아하는 분들이라면 한번 쯤 들어보셨을 어깨 질환 중 하나인 회전근개 증후군에 대해 알아보았는데요, 이해가 잘 되셨을까요?
의학지식이란 것이 정보 비대칭성이 강하고, 어려운 용어들이 많아 평소 병원에 가서 설명을 듣고 팜플렛을 보아도 이해가 잘 안되시는 부분이 많았을 것 같은데요, 제 글이 여러분들의 이해에 도움이 되었으면 좋겠습니다. :)
제 글이 도움이 되셨다면 '좋아요' 부탁드리고, 앞으로 이런 글들을 꾸준히 받아보시고 싶으시면 '구독' 부탁드립니다 ^^
아울러 댓글로 추가로 궁금하신 사항을 남겨주시면 친절하게 최대한 자세히 답변 드리고, 설명이 길어진다면 따로 시간을 마련해서 포스팅하도록하겠습니다 ^^
'정형외과정보 > 어깨 및 팔꿈치관절' 카테고리의 다른 글
| [정형외과전문의][어깨질환] "어깨에 석회가 낀다구?" 어깨 석회화 건염 / 석회성 건염 - (1) 석회성 건염의 이해 (0) | 2024.03.29 |
|---|---|
| [정형외과전문의][팔꿈치관절] 테니스 엘보우 / 외상과염에 대하여 (Tennis Elbow / Lateral Epicondylitis) (1) | 2024.02.27 |
| [정형외과전문의][어깨관절] 오십견 / 동결견 재활운동 (0) | 2024.02.26 |
| [정형외과질환][어깨관절] 오십견 / 동결견 치료에 대하여 (0) | 2024.02.18 |
| [정형외과질환][어깨관절] 오십견 / 동결견에 대하여 (0) | 2024.01.14 |